You have no items in your shopping cart.
SRC Antibody (N-term)
Description
Research Area
Images & Validation
−| Tested Applications | FC, IF, IHC-P, WB |
|---|---|
| Dilution Range | WB - 1:2000, IHC-P - 1:100-500, FC - 1:50, IF - 1:50 |
| Reactivity | Human |
| Predicted Reactivity | Mouse |
Key Properties
−| Host | Rabbit |
|---|---|
| Clonality | Polyclonal |
| Isotype | Rabbit IgG |
| Molecular Weight | 59835 Da |
| Conjugation | Unconjugated |
Storage & Handling
−| Storage | Maintain refrigerated at 2-8°C for up to 2 weeks. For long term storage store at -20°C in small aliquots to prevent freeze-thaw cycles |
|---|---|
| Form/Appearance | Purified polyclonal antibody supplied in PBS with 0.09% (W/V) sodium azide. This antibody is purified through a protein A column, followed by peptide affinity purification. |
| Expiration Date | 12 months from date of receipt. |
| Disclaimer | For research use only |
Alternative Names
−Similar Products
−SRC Antibody (N-term) [orb1928950]
IF, IHC-P, WB
Human, Mouse, Rat
Rabbit
Polyclonal
Unconjugated
100 μl, 50 μl

Quality Guarantee
Explore bioreagents carefree to elevate your research. All our products are rigorously tested for performance. If a product does not perform as described on its datasheet, our scientific support team will provide expert troubleshooting, a prompt replacement, or a refund. For full details, please see our Terms & Conditions and Buying Guide. Contact us at support@biorbyt.com.

SRC Antibody (N-term) western blot analysis in MCF-7, A431 cell line lysates (35 ug/lane).This demonstrates the SRC antibody detected the SRC protein (arrow).

SRC Antibody (N-term) flow cytometric analysis of MCF-7 cells (right histogram) compared to a negative control cell (left histogram).Alexa Fluor 488-conjugated donkey anti-rabbit lgG secondary antibodies were used for the analysis.

Confocal immunofluorescent analysis of SRC Antibody (N-term) with A431 cell followed by Alexa Fluor 488-conjugated goat anti-rabbit lgG (green). Actin filaments have been labeled with Alexa Fluor 555 phalloidin (red). DAPI was used to stain the cell nuclear (blue).

Confocal immunofluorescent analysis of SRC Antibody (N-term) with MCF-7 cell followed by Alexa Fluor 488-conjugated goat anti-rabbit lgG (green). Actin filaments have been labeled with Alexa Fluor 555 phalloidin (red). DAPI was used to stain the cell nuclear (blue).

SRC Antibody (N-term) immunohistochemistry analysis in formalin fixed and paraffin embedded human brain tissue followed by peroxidase conjugation of the secondary antibody and DAB staining.This data demonstrates the use of SRC Antibody (N-term) for immunohistochemistry. Clinical relevance has not been evaluated.

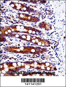
SRC Antibody (N-term) immunohistochemistry analysis in formalin fixed and paraffin embedded human small intestine tissue followed by peroxidase conjugation of the secondary antibody and DAB staining.This data demonstrates the use of SRC Antibody (N-term) for immunohistochemistry. Clinical relevance has not been evaluated.
Quick Database Links
UniProt Details
−Documents Download
Request a Document
Protocol Information
SRC Antibody (N-term) (orb1927590)
Participating in our Biorbyt product reviews program enables you to support fellow scientists by sharing your firsthand experience with our products.
Login to Submit a Review













