You have no items in your shopping cart.
structure specific recognition protein 1 Antibody
Description
Research Area
Images & Validation
−| Tested Applications | IHC-P, IP, WB |
|---|---|
| Dilution Range | WB: 1:500-1:3000 , IHC-P: 1:100-1:1000 |
| Reactivity | Human |
| Application Notes |
Key Properties
−| Antibody Type | Primary Antibody |
|---|---|
| Host | Rabbit |
| Clonality | Polyclonal |
| Isotype | IgG |
| Immunogen | Recombinant protein encompassing a sequence within the center region of human SSRP1. The exact sequence is proprietary. |
| Target | SSRP1 |
| Molecular Weight | 81 |
| Purity | Purified by antigen-affinity chromatography. |
| Purification | Purified by antigen-affinity chromatography. |
| Conjugation | Unconjugated |
Storage & Handling
−| Storage | Store as concentrated solution. Centrifuge briefly prior to opening vial. For short-term storage (1-2 weeks), store at 4°C. For long-term storage, aliquot and store at -20°lC or below. Avoid multiple freeze-thaw cycles. |
|---|---|
| Form/Appearance | Liquid: 0.1M Tris, 0.1M Glycine, 10% Glycerol (pH7). 0.01% Thimerosal was added as a preservative. |
| Buffer/Preservatives | 0.1M Tris, 0.1M Glycine, 10% Glycerol, 0.01% Thimerosal. |
| Concentration | 1 mg/ml |
| Expiration Date | 12 months from date of receipt. |
| Disclaimer | For research use only |
Alternative Names
−Similar Products
−SSRP1 Rabbit Polyclonal Antibody [orb341073]
IF, IHC, WB
Human, Mouse, Rat
Rabbit
Polyclonal
Unconjugated
50 μl, 100 μl, 200 μl, 30 μlRabbit SSRP1 Antibody [orb1525516]
IHC, IP, WB
Gallus, Mouse, Rat
Human
Rabbit
Polyclonal
Unconjugated
100 μl, 10 μlSSRP1 Rabbit Polyclonal Antibody [orb2953362]
ELISA, IHC, WB
Human
Rabbit
Polyclonal
Unconjugated
50 μg, 100 μg

Quality Guarantee
Explore bioreagents carefree to elevate your research. All our products are rigorously tested for performance. If a product does not perform as described on its datasheet, our scientific support team will provide expert troubleshooting, a prompt replacement, or a refund. For full details, please see our Terms & Conditions and Buying Guide. Contact us at support@biorbyt.com.

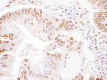
Immunohistochemical staining of Cal27 Xenograft using SSRP1 antibody

Western blot analysis of Whole cell extract using SSRP1 antibody

Western blot analysis of Various whole cell using SSRP1 antibody

Western blot analysis of Molt-4 cells using SSRP1 antibody
Quick Database Links
UniProt Details
−Documents Download
Request a Document
Protocol Information
structure specific recognition protein 1 Antibody (orb556766)
Participating in our Biorbyt product reviews program enables you to support fellow scientists by sharing your firsthand experience with our products.
Login to Submit a Review






