You have no items in your shopping cart.
STAT1 Antibody
Description
Research Area
Images & Validation
−| Tested Applications | IHC, WB |
|---|---|
| Reactivity | Human, Mouse, Rat |
| Application Notes |
Key Properties
−| Antibody Type | Primary Antibody |
|---|---|
| Host | Rabbit |
| Clonality | Polyclonal |
| Immunogen | STAT1 (Ab-701) antibody was raised against a peptide sequence around aa. 699~703 (T-G-Y-I-K) derived from Human STAT1. |
| Target | STAT1 |
| Molecular Weight | 91 kDa |
| Purification | Antibodies were purified by affinity-chromatography using epitope-specific peptide. |
| Conjugation | Unconjugated |
Storage & Handling
−| Storage | Maintain refrigerated at 2-8°C for up to 2 weeks. For long term storage store at -20°C in small aliquots to prevent freeze-thaw cycles. |
|---|---|
| Form/Appearance | Liquid |
| Buffer/Preservatives | Antibody supplied in phosphate buffered saline (without Mg2+ and Ca2+), pH 7.4, 150mM NaCl, 0.02% sodium azide and 50% glycerol. |
| Concentration | 1 mg/mL |
| Expiration Date | 12 months from date of receipt. |
| Disclaimer | For research use only |
Alternative Names
−Similar Products
−Phospho-STAT1 (Ser727) Recombinant Rabbit Monoclonal Antibody [orb559173]
IF, IHC-Fr, IHC-P, WB
Mouse, Rat
Human, Mouse, Rat
Rabbit
Recombinant
Unconjugated
50 μl, 100 μl, 25 μlSTAT1 Rabbit Polyclonal Antibody [orb158504]
FC, ICC, IF, IHC-Fr, IHC-P, WB
Bovine, Canine, Equine, Porcine, Sheep
Human, Mouse, Rat
Rabbit
Polyclonal
Unconjugated
50 μl, 100 μl, 200 μlSTAT1 Antibody (C-term) [orb1932073]
FC, IF, IHC-P, WB
Human
Rabbit
Polyclonal
Unconjugated
100 μl, 50 μlSTAT1 Antibody [orb1240037]
ELISA, ICC, IF, IHC-P, IP, WB
Porcine
Human, Mouse, Rat
Rabbit
Polyclonal
Unconjugated
0.1 mg, 0.02 mgSTAT1 Mouse Monoclonal Antibody [orb546999]
FC, ICC, IF, IHC, WB
Human, Monkey
Mouse
Monoclonal
Unconjugated
100 μg

Quality Guarantee
Explore bioreagents carefree to elevate your research. All our products are rigorously tested for performance. If a product does not perform as described on its datasheet, our scientific support team will provide expert troubleshooting, a prompt replacement, or a refund. For full details, please see our Terms & Conditions and Buying Guide. Contact us at support@biorbyt.com.

Western blot analysis of lysed extracts from HeLa, A431 and JK cells using STAT1.

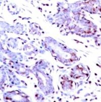
Immunohistochemical analysis of paraffin-embedded human breast carcinoma tissue using STAT1.
Quick Database Links
UniProt Details
−NCBI Reference Sequences
−| Protein | NP_009330.1 |
|---|
Documents Download
Request a Document
Protocol Information
STAT1 Antibody (orb1253655)
Participating in our Biorbyt product reviews program enables you to support fellow scientists by sharing your firsthand experience with our products.
Login to Submit a Review










































