You have no items in your shopping cart.
STAT1 (Ab-701) Antibody
Description
Research Area
Images & Validation
−| Tested Applications | IHC, WB |
|---|---|
| Reactivity | Human |
Key Properties
−| Antibody Type | Primary Antibody |
|---|---|
| Host | Rabbit |
| Clonality | Polyclonal |
| Conjugation | Unconjugated |
Storage & Handling
−| Storage | Maintain refrigerated at 2-8°C for up to 2 weeks. For long term storage store at -20°C in small aliquots to prevent freeze-thaw cycles. |
|---|---|
| Expiration Date | 12 months from date of receipt. |
| Disclaimer | For research use only |
Similar Products
−STAT1 (Ab-701) Antibody [orb223197]
IHC, IP, WB
Human, Mouse, Rat
Rabbit
Polyclonal
Unconjugated
50 μg, 25 μg, 100 μg, 200 μgSTAT1(Ab-701) Antibody [orb2628161]
IHC, WB
Human, Mouse, Rat
Rabbit
Polyclonal
Unconjugated

Quality Guarantee
Explore bioreagents carefree to elevate your research. All our products are rigorously tested for performance. If a product does not perform as described on its datasheet, our scientific support team will provide expert troubleshooting, a prompt replacement, or a refund. For full details, please see our Terms & Conditions and Buying Guide. Contact us at support@biorbyt.com.

Western blot analysis of STAT1(Ab-701) antibody in Hela, A431 and JK cells lysate

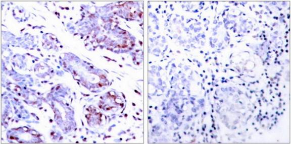
Immunohistochemical analysis of formalin-fixed and paraffin-embedded human breast carcinoma tissue using STAT1(Ab-701) antibody
Quick Database Links
UniProt Details
−Documents Download
Request a Document
Protocol Information
STAT1 (Ab-701) Antibody (orb14457)
Participating in our Biorbyt product reviews program enables you to support fellow scientists by sharing your firsthand experience with our products.
Login to Submit a Review



