You have no items in your shopping cart.
STAT1 Antibody
Description
Research Area
Images & Validation
−| Tested Applications | IF, IHC, IP, WB |
|---|---|
| Reactivity | Human, Mouse, Rat |
| Application Notes |
Key Properties
−| Antibody Type | Primary Antibody |
|---|---|
| Host | Rabbit |
| Clonality | Polyclonal |
| Isotype | IgG |
| Immunogen | A synthetic peptide corresponding to a sequence within amino acids 650-750 of human STAT1 (NP_009330.1). |
| Target | STAT1 |
| Molecular Weight | Observed: 91kDa |
| Purification | Affinity purification |
| Conjugation | Unconjugated |
Storage & Handling
−| Storage | Maintain refrigerated at 2-8°C for up to 2 weeks. For long term storage store at -20°C in small aliquots to prevent freeze-thaw cycles. |
|---|---|
| Form/Appearance | Liquid |
| Buffer/Preservatives | PBS with 0.02% sodium azide, 50% glycerol, pH 7.3. |
| Concentration | batch dependent |
| Expiration Date | 12 months from date of receipt. |
| Disclaimer | For research use only |
Alternative Names
−Similar Products
−Phospho-STAT1 (Ser727) Recombinant Rabbit Monoclonal Antibody [orb559173]
IF, IHC-Fr, IHC-P, WB
Mouse, Rat
Human, Mouse, Rat
Rabbit
Recombinant
Unconjugated
50 μl, 100 μl, 25 μlSTAT1 Rabbit Polyclonal Antibody [orb158504]
FC, ICC, IF, IHC-Fr, IHC-P, WB
Bovine, Canine, Equine, Porcine, Sheep
Human, Mouse, Rat
Rabbit
Polyclonal
Unconjugated
50 μl, 100 μl, 200 μlSTAT1 Antibody (C-term) [orb1932073]
FC, IF, IHC-P, WB
Human
Rabbit
Polyclonal
Unconjugated
100 μl, 50 μlSTAT1 Mouse Monoclonal Antibody [orb546999]
FC, ICC, IF, IHC, WB
Human, Monkey
Mouse
Monoclonal
Unconjugated
100 μgSTAT1 Antibody [orb1240037]
ELISA, ICC, IF, IHC-P, IP, WB
Porcine
Human, Mouse, Rat
Rabbit
Polyclonal
Unconjugated
0.1 mg, 0.02 mg

Quality Guarantee
Explore bioreagents carefree to elevate your research. All our products are rigorously tested for performance. If a product does not perform as described on its datasheet, our scientific support team will provide expert troubleshooting, a prompt replacement, or a refund. For full details, please see our Terms & Conditions and Buying Guide. Contact us at support@biorbyt.com.

Immunoprecipitation analysis of 100 ug extracts of HeLa cells using 3 ug STAT1 antibody (orb1261079). Western blot was performed from the immunoprecipitate using STAT1 antibody (orb1261079) at a dilution of 1:1000.

Immunofluorescence analysis of U2OS cells using STAT1 antibody (orb1261079) at dilution of 1:100. Blue: DAPI for nuclear staining.

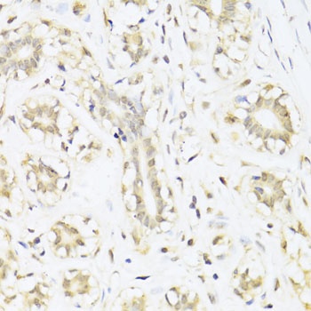
Immunohistochemistry of paraffin-embedded human gastric cancer using STAT1 antibody (orb1261079) at dilution of 1:100 (40x lens).

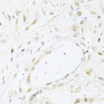
Immunohistochemistry of paraffin-embedded human mammary cancer using STAT1 antibody (orb1261079) at dilution of 1:100 (40x lens).

Western blot analysis of extracts of HeLa cells, using STAT1 antibody (orb1261079) at 1:1000 dilution. Secondary antibody: HRP Goat Anti-Rabbit IgG (H+L) at 1:10000 dilution. Lysates/proteins: 25 ug per lane. Blocking buffer: 3% nonfat dry milk in TBST. Detection: ECL Basic Kit. Exposure time: 90s.
Quick Database Links
UniProt Details
−Documents Download
Request a Document
Protocol Information
STAT1 Antibody (orb1261079)
Participating in our Biorbyt product reviews program enables you to support fellow scientists by sharing your firsthand experience with our products.
Login to Submit a Review










































