You have no items in your shopping cart.
STAT1 (Phospho-Tyr701) Antibody
Description
Images & Validation
−| Tested Applications | IHC, WB |
|---|---|
| Reactivity | Human, Mouse |
Key Properties
−| Antibody Type | Primary Antibody |
|---|---|
| Host | Rabbit |
| Clonality | Polyclonal |
| Conjugation | Unconjugated |
Storage & Handling
−| Storage | Maintain refrigerated at 2-8°C for up to 2 weeks. For long term storage store at -20°C in small aliquots to prevent freeze-thaw cycles. |
|---|---|
| Expiration Date | 12 months from date of receipt. |
| Disclaimer | For research use only |
Similar Products
−Stat1 (phospho Tyr701) rabbit pAb Antibody [orb764279]
ELISA, IF, IHC, IP, WB
Human, Monkey, Mouse, Rat
Polyclonal
Unconjugated
100 μlPhospho-STAT1 (Tyr701) Rabbit Polyclonal Antibody [orb14776]
IF, IHC-Fr, IHC-P
Bovine, Canine, Human, Porcine, Rabbit, Rat, Sheep
Mouse
Rabbit
Polyclonal
Unconjugated
50 μl, 100 μl, 200 μlSTAT1 (Phospho-Tyr701) Antibody [orb223105]
IHC, IP, WB
Human, Mouse, Rat
Rabbit
Polyclonal
Unconjugated
100 μg, 50 μg, 200 μg, 25 μg

Quality Guarantee
Explore bioreagents carefree to elevate your research. All our products are rigorously tested for performance. If a product does not perform as described on its datasheet, our scientific support team will provide expert troubleshooting, a prompt replacement, or a refund. For full details, please see our Terms & Conditions and Buying Guide. Contact us at support@biorbyt.com.

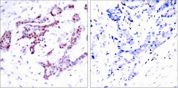
Immunohistochemical analysis of paraffin-embedded human breast carcinoma tissue using STAT1 (phospho-Tyr701) antibody

Immunohistochemical analysis of paraffin-embedded human breast carcinoma tissue using STAT1 (phospho-Tyr701) antibody

Western blot analysis of extracts from MCF7 cells using STAT1 (phospho-Tyr701) antibody
Quick Database Links
UniProt Details
−Documents Download
Request a Document
Protocol Information
STAT1 (Phospho-Tyr701) Antibody (orb11426)
Participating in our Biorbyt product reviews program enables you to support fellow scientists by sharing your firsthand experience with our products.
Login to Submit a Review







