You have no items in your shopping cart.
STAT2 Antibody
Description
Research Area
Images & Validation
−| Tested Applications | ELISA, IF, IHC |
|---|---|
| Dilution range | IHC-P:1:20-200, IF:1:50-200 |
| Reactivity | Human |
Key Properties
−| Host | Rabbit |
|---|---|
| Clonality | Polyclonal |
| Isotype | IgG |
| Immunogen | Recombinant Human Signal transducer and activator of transcription 2 protein (571-851AA) |
| Target | STAT2 |
| Purification | >95%, Protein G purified |
| Conjugation | Unconjugated |
Storage & Handling
−| Storage | Maintain refrigerated at 2-8°C for up to 2 weeks. For long term storage store at -20°C in small aliquots to prevent freeze-thaw cycles. |
|---|---|
| Form/Appearance | Liquid |
| Buffer/Preservatives | Preservative: 0.03% Proclin 300. Constituents: 50% Glycerol |
| Disclaimer | For research use only |
Alternative Names
−Similar Products
−STAT2 Recombinant Rabbit Monoclonal Antibody [orb559149]
ICC, WB
Human
Human, Mouse
Rabbit
Recombinant
Unconjugated
50 μl, 100 μlStat2 (phospho Tyr690) rabbit pAb Antibody [orb764353]
ELISA, IF, IHC, WB
Human, Rat
Polyclonal
Unconjugated
100 μl, 50 μlSnoN/SNO/SKIL Antibody [orb1098059]
ELISA, FC, ICC, IF, IHC, WB
Human, Mouse, Rat
Rabbit
Polyclonal
Unconjugated
100 μgPig Signal Transducer and Activator of Transcription 2 (STAT2) ELISA Kit [orb782271]
Porcine
0.32-20 ng/mL
0.113 ng/mL
48 T, 96 THuman Signal Transducer and Activator of Transcription 2 (STAT2) ELISA Kit [orb776063]
Human
0.32-20 ng/mL
0.11 ng/mL
96 T, 48 T

Quality Guarantee
Explore bioreagents carefree to elevate your research. All our products are rigorously tested for performance. If a product does not perform as described on its datasheet, our scientific support team will provide expert troubleshooting, a prompt replacement, or a refund. For full details, please see our Terms & Conditions and Buying Guide. Contact us at support@biorbyt.com.

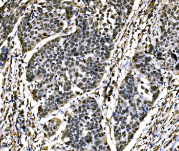
Immunohistochemical staining of human lung cancer using STAT2 antibody

Immunofluorescence analysis of HeLa cells using STAT2 antibody
Quick Database Links
UniProt Details
−Documents Download
Request a Document
Protocol Information
STAT2 Antibody (orb44246)
Participating in our Biorbyt product reviews program enables you to support fellow scientists by sharing your firsthand experience with our products.
Login to Submit a Review
















