You have no items in your shopping cart.
STAT6 Antibody
Description
Images & Validation
−| Tested Applications | IHC, WB |
|---|---|
| Reactivity | Human, Rat |
| Application Notes |
Key Properties
−| Antibody Type | Primary Antibody |
|---|---|
| Host | Rabbit |
| Clonality | Polyclonal |
| Immunogen | STAT6 (Ab-641) antibody was raised against a peptide sequence around aa.639~643 (R-G-Y-V-P) derived from Human STAT6. |
| Target | STAT6 |
| Molecular Weight | 110 kDa |
| Purification | Antibodies were purified by affinity-chromatography using epitope-specific peptide. |
| Conjugation | Unconjugated |
Storage & Handling
−| Storage | Maintain refrigerated at 2-8°C for up to 2 weeks. For long term storage store at -20°C in small aliquots to prevent freeze-thaw cycles. |
|---|---|
| Form/Appearance | Liquid |
| Buffer/Preservatives | Antibody supplied in phosphate buffered saline (without Mg2+ and Ca2+), pH 7.4, 150mM NaCl, 0.02% sodium azide and 50% glycerol. |
| Concentration | 1 mg/mL |
| Expiration Date | 12 months from date of receipt. |
| Disclaimer | For research use only |
Alternative Names
−Similar Products
−STAT6 Rabbit Polyclonal Antibody [orb573717]
IHC, WB
Bovine, Canine, Equine, Guinea pig, Mouse, Rabbit, Rat
Human
Rabbit
Polyclonal
Unconjugated
100 μlStat6 (phospho Tyr641) rabbit pAb Antibody [orb764284]
ELISA, IF, IHC, WB
Human, Mouse, Rat
Polyclonal
Unconjugated
100 μl, 50 μlHuman Signal Transducer and Activator of Transcription 6 (STAT6) ELISA Kit [orb775844]
Human
0.32-20 ng/mL
0.124 ng/mL
48 T, 96 TSTAT6 Antibody [orb1410471]
IHC
Human
Rabbit
Monoclonal
Unconjugated
20 μg, 100 μg, 100 μg (without BSA and Azide)PARP14 Rabbit Polyclonal Antibody [orb312946]
IF, IHC-Fr, IHC-P
Bovine, Canine, Equine, Human, Mouse, Porcine, Rabbit, Sheep, Zebrafish
Rat
Rabbit
Polyclonal
Unconjugated
50 μl, 100 μl, 200 μl

Quality Guarantee
Explore bioreagents carefree to elevate your research. All our products are rigorously tested for performance. If a product does not perform as described on its datasheet, our scientific support team will provide expert troubleshooting, a prompt replacement, or a refund. For full details, please see our Terms & Conditions and Buying Guide. Contact us at support@biorbyt.com.

Western blot analysis of lysed extracts from HepG2 cells using STAT6.

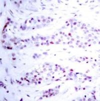
Immunohistochemical analysis of paraffin-embedded human breast carcinoma tissue using STAT6.
Quick Database Links
UniProt Details
−NCBI Reference Sequences
−| Protein | NP_003144.3 |
|---|
Documents Download
Request a Document
Protocol Information
STAT6 Antibody (orb1253649)
Participating in our Biorbyt product reviews program enables you to support fellow scientists by sharing your firsthand experience with our products.
Login to Submit a Review













