You have no items in your shopping cart.
STAT6 Antibody
Description
Images & Validation
−| Tested Applications | IHC-P |
|---|---|
| Dilution Range | Immunohistochemistry (FFPE): 1-2ug/ml for 30 minutes at RT |
| Reactivity | Human |
| Application Notes |
Key Properties
−| Antibody Type | Primary Antibody |
|---|---|
| Host | Rabbit |
| Clonality | Recombinant |
| Isotype | Rabbit IgG, kappa |
| Clone No. | STAT6/7774R |
| Immunogen | A recombinant partial protein sequence (within amino acids 647-847) from the human protein was used as the immunogen for the STAT6 antibody. |
| Purification | Protein A/G affinity |
| Conjugation | Unconjugated |
Storage & Handling
−| Storage | Maintain refrigerated at 2-8°C for up to 2 weeks. For long term storage store at -20°C in small aliquots to prevent freeze-thaw cycles. |
|---|---|
| Buffer/Preservatives | 1 mg/ml in 1X PBS; rAlbumin free, sodium azide free |
| Expiration Date | 12 months from date of receipt. |
| Disclaimer | For research use only |
Similar Products
−STAT6 Rabbit Polyclonal Antibody [orb573717]
IHC, WB
Bovine, Canine, Equine, Guinea pig, Mouse, Rabbit, Rat
Human
Rabbit
Polyclonal
Unconjugated
100 μlStat6 (phospho Tyr641) rabbit pAb Antibody [orb764284]
ELISA, IF, IHC, WB
Human, Mouse, Rat
Polyclonal
Unconjugated
100 μl, 50 μlHuman Signal Transducer and Activator of Transcription 6 (STAT6) ELISA Kit [orb775844]
Human
0.32-20 ng/mL
0.124 ng/mL
48 T, 96 TSTAT6 Antibody [orb1410471]
IHC
Human
Rabbit
Monoclonal
Unconjugated
20 μg, 100 μg, 100 μg (without BSA and Azide)PARP14 Rabbit Polyclonal Antibody [orb312946]
IF, IHC-Fr, IHC-P
Bovine, Canine, Equine, Human, Mouse, Porcine, Rabbit, Sheep, Zebrafish
Rat
Rabbit
Polyclonal
Unconjugated
50 μl, 100 μl, 200 μl

Quality Guarantee
Explore bioreagents carefree to elevate your research. All our products are rigorously tested for performance. If a product does not perform as described on its datasheet, our scientific support team will provide expert troubleshooting, a prompt replacement, or a refund. For full details, please see our Terms & Conditions and Buying Guide. Contact us at support@biorbyt.com.

IHC staining of FFPE human cerebellum tissue with STAT6 antibody (clone STAT6/7774R). Inset: PBS used in place of primary Ab (secondary Ab negative control). HIER: boil tissue sections in pH9 10 mM Tris with 1 mM EDTA for 20 min and allow to cool before testing.

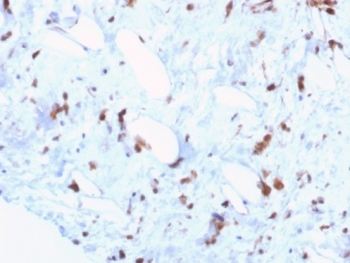
IHC staining of FFPE human liposarcoma tissue with STAT6 antibody (clone STAT6/7774R). HIER: boil tissue sections in pH9 10 mM Tris with 1 mM EDTA for 20 min and allow to cool before testing.
Quick Database Links
UniProt Details
−Documents Download
Request a Document
STAT6 Antibody (orb1825676)
Participating in our Biorbyt product reviews program enables you to support fellow scientists by sharing your firsthand experience with our products.
Login to Submit a Review













