You have no items in your shopping cart.
Stathmin antibody
Description
Images & Validation
−| Tested Applications | ELISA, ICC, IF, IHC-P, WB |
|---|---|
| Dilution Range | WB: 2 μg/ml, IF/ICC: 1:100, IHC-P: 1:100 |
| Reactivity | Human, Mouse, Rat |
Key Properties
−| Host | Rabbit |
|---|---|
| Clonality | Polyclonal |
| Isotype | IgG |
| Immunogen | KLH conjugated synthetic peptide derived from human Stathmin. Please contact us for the exact immunogen sequence. The peptide is available as orb374769. |
| Target | Stathmin |
| Molecular Weight | 17 kDa |
| Purity | Polyclonal antibodies are purified by peptide affinity chromatography |
| Conjugation | Unconjugated |
Storage & Handling
−| Storage | Maintain refrigerated at 2-8°C for up to 2 weeks. For long term storage store at -20°C in small aliquots to prevent freeze-thaw cycles. |
|---|---|
| Form/Appearance | 10 mM PBS, 0.02% sodium azide |
| Concentration | - 100 μg (in 200 μl): 0.5 mg/ml- 200 μg (in 400 μl): 0.5 mg/ml |
| Expiration Date | 12 months from date of receipt. |
| Disclaimer | For research use only |
Alternative Names
−Similar Products
−Stathmin 1/STMN1 Rabbit Polyclonal Antibody [orb308855]
FC, ICC, IF, IHC, WB
Human, Mouse, Rat
Rabbit
Polyclonal
Unconjugated
100 μgSTMN1 Recombinant Rabbit Monoclonal Antibody [orb1151977]
FC, ICC, IF, IHC-Fr, IHC-P, WB
Mouse, Rat
Human, Mouse, Rat
Rabbit
Recombinant
Unconjugated
25 μl, 100 μl, 50 μlPhospho-STMN1 (Ser63) Rabbit Polyclonal Antibody [orb1966]
FC, IF, IHC-Fr, IHC-P
Bovine, Gallus, Rabbit
Human, Mouse, Rat
Rabbit
Polyclonal
Unconjugated
50 μl, 100 μl, 200 μlStathmin-3 rabbit pAb Antibody [orb766395]
ELISA, IHC, WB
Human, Mouse, Rat
Polyclonal
Unconjugated
100 μl, 50 μlOp18 (phospho Ser16) rabbit pAb Antibody [orb764249]
ELISA, IF, IHC, WB
Human, Mouse, Rat
Polyclonal
Unconjugated
100 μl, 50 μl

Quality Guarantee
Explore bioreagents carefree to elevate your research. All our products are rigorously tested for performance. If a product does not perform as described on its datasheet, our scientific support team will provide expert troubleshooting, a prompt replacement, or a refund. For full details, please see our Terms & Conditions and Buying Guide. Contact us at support@biorbyt.com.

WB analysis of rat liver tissue using anti-Stathmin (primary antibody dilution at: 4 ug/ml)

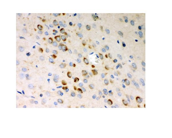
Immunohistochemical staining of mouse brain tissue using anti-Stathmin (dilution of primary antibody - 1:100)

Western blot analysis of rat kidney tissue using Stathmin antibody (dilution at: 2 ug/ml

Immunofluorescence analysis of mouse testis tissue using anti-Stathmin (dilution of primary antibody - 1:100)

Immunohistochemical staining of paraffin embedded mouse brain tissue using Stathmin antibody (primary antibody at 1:100)

IHC-P staining of mouse testis tissue using anti-Stathmin (dilution at 1:100)

IHC-P image of mouse brain tissue using anti-Stathmin (dilution of primary antibody at 1:100)

Immunofluorescence analysis of mouse brain tissue using anti-Stathmin (dilution of primary antibody - 1:100)

IHC-P staining of mouse brain tissue using Stathmin antibody (dilution at 1:100)

Immunofluorescence image of mouse brain tissue using anti-Stathmin (dilution at 1:100)

Immunohistochemical analysis of mouse testis tissue using anti-Stathmin (dilution of primary antibody at 1:100)

IF analysis of mouse testis tissue using Stathmin antibody (dilution of primary antibody at 1:100)
Quick Database Links
Documents Download
Request a Document
Protocol Information
Stathmin antibody (orb13536)
Participating in our Biorbyt product reviews program enables you to support fellow scientists by sharing your firsthand experience with our products.
Login to Submit a Review





























