You have no items in your shopping cart.
STMN2 Antibody
Description
Research Area
Images & Validation
−| Tested Applications | ELISA, IF, IHC |
|---|---|
| Dilution Range | IHC-P:1:20-200, IF:1:50-200 |
| Reactivity | Human |
Key Properties
−| Host | Rabbit |
|---|---|
| Clonality | Polyclonal |
| Isotype | IgG |
| Immunogen | Recombinant Human Stathmin-2 protein (61-129AA) |
| Target | STMN2 |
| Purification | >95%, Protein G purified |
| Conjugation | Unconjugated |
Storage & Handling
−| Storage | Maintain refrigerated at 2-8°C for up to 2 weeks. For long term storage store at -20°C in small aliquots to prevent freeze-thaw cycles. |
|---|---|
| Form/Appearance | Liquid |
| Buffer/Preservatives | Preservative: 0.03% Proclin 300. Constituents: 50% Glycerol |
| Expiration Date | 12 months from date of receipt. |
| Disclaimer | For research use only |
Alternative Names
−Similar Products
−STMN2 Antibody (Center) [orb1926555]
FC, IF, IHC, WB
Human, Mouse
Rabbit
Polyclonal
Unconjugated
100 μl, 50 μlSCG10/STMN2 Rabbit Polyclonal Antibody [orb738397]
ELISA, FC, ICC, IF, IHC, WB
Human, Mouse, Rat
Rabbit
Polyclonal
Unconjugated
100 μgStathmin-2 rabbit pAb Antibody [orb766681]
ELISA, IF, IHC, WB
Human, Mouse, Rat
Polyclonal
Unconjugated
100 μl, 50 μlSTMN2 Antibody (N-term) [orb1926943]
FC, IHC-P, WB
Human, Mouse, Rat
Rabbit
Polyclonal
Unconjugated
100 μl, 50 μlSTMN2/SCG10 Antibody [orb18864]
ELISA, WB
Bovine, Canine, Human, Rat
Mouse
Goat
Polyclonal
Unconjugated
100 μg

Quality Guarantee
Explore bioreagents carefree to elevate your research. All our products are rigorously tested for performance. If a product does not perform as described on its datasheet, our scientific support team will provide expert troubleshooting, a prompt replacement, or a refund. For full details, please see our Terms & Conditions and Buying Guide. Contact us at support@biorbyt.com.

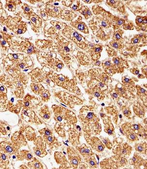
Immunohistochemical staining of human pancreatic tissue using STMN2 antibody

Immunofluorescence analysis of A549 cells using STMN2 antibody

Immunohistochemical staining of human brain tissue using STMN2 antibody
Quick Database Links
UniProt Details
−Documents Download
Request a Document
Protocol Information
STMN2 Antibody (orb51954)
Participating in our Biorbyt product reviews program enables you to support fellow scientists by sharing your firsthand experience with our products.
Login to Submit a Review



















