You have no items in your shopping cart.
STUB1 Antibody
Description
Research Area
Images & Validation
−| Tested Applications | ELISA, IHC, WB |
|---|---|
| Dilution range | WB: 1:500-1:2000; IHC: 1:20-1:200 |
| Reactivity | Human, Mouse, Rat |
Key Properties
−| Antibody Type | Primary Antibody |
|---|---|
| Host | Rabbit |
| Clonality | Polyclonal |
| Isotype | IgG |
| Immunogen | STIP1 homology and U-box containing protein 1 |
| Target | STUB1 |
| Purity | ≥95% as determined by SDS-PAGE |
| Purification | Immunogen affinity purified |
| Conjugation | Unconjugated |
Storage & Handling
−| Storage | Maintain refrigerated at 2-8°C for up to 2 weeks. For long term storage store at -20°C in small aliquots to prevent freeze-thaw cycles. |
|---|---|
| Form/Appearance | liquid |
| Disclaimer | For research use only |
Alternative Names
−Similar Products
−STUB1 Antibody (monoclonal, 13I8) [orb527067]
FC, IHC, WB
Human, Monkey, Mouse, Rat
Mouse
Monoclonal
Unconjugated
100 μgSTUB1 Antibody [orb402239]
ELISA, FC, ICC, IF, IHC, WB
Human, Mouse, Rat
Rabbit
Polyclonal
Unconjugated
100 μgHuman E3 Ubiquitin-Protein Ligase CHIP (STUB1) ELISA Kit [orb1146733]
Human
31.25-2000 pg/mL
18.74 pg/mL
48 T, 96 TMouse STIP1 Homology and U-Box Containing Protein 1 (STUB1) ELISA Kit [orb781867]
Mouse
0.16-10 ng/mL
0.062 ng/mL
48 T, 96 TSTUB1 Antibody (C-term) [orb1939504]
IHC-P, WB
Gallus
Human, Mouse
Rabbit
Polyclonal
Unconjugated
100 μl, 50 μl

Quality Guarantee
Explore bioreagents carefree to elevate your research. All our products are rigorously tested for performance. If a product does not perform as described on its datasheet, our scientific support team will provide expert troubleshooting, a prompt replacement, or a refund. For full details, please see our Terms & Conditions and Buying Guide. Contact us at support@biorbyt.com.

HeLa cells were subjected to SDS PAGE followed by western blot with orb631617 (STUB1 antibody) at dilution of 1:500.

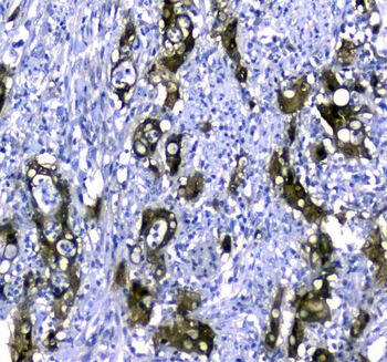
Immunohistochemistry of paraffin-embedded human heart using orb631617 (STUB1 antibody) at dilution of 1:50.
Quick Database Links
UniProt Details
−Documents Download
Request a Document
Protocol Information
STUB1 Antibody (orb631617)
Participating in our Biorbyt product reviews program enables you to support fellow scientists by sharing your firsthand experience with our products.
Login to Submit a Review

















