You have no items in your shopping cart.
SUPT5H Rabbit Polyclonal Antibody
Description
Research Area
Images & Validation
−| Tested Applications | IHC, WB |
|---|---|
| Reactivity | Human |
| Predicted Reactivity | Bovine, Canine, Equine, Guinea pig, Rabbit, Zebrafish |
Key Properties
−| Host | Rabbit |
|---|---|
| Clonality | Polyclonal |
| Immunogen | The immunogen is a synthetic peptide directed towards the C terminal region of human SUPT5H |
| Target | SUPT5H |
| Protein Sequence | Synthetic peptide located within the following region: PYAAPSPQGSYQPSPSPQSYHQVAPSPAGYQNTHSPASYHPTPSPMAYQA |
| Molecular Weight | 121kDa |
| Purification | Affinity Purified |
| Conjugation | Unconjugated |
Storage & Handling
−| Storage | Maintain refrigerated at 2-8°C for up to 2 weeks. For long term storage store at -20°C in small aliquots to prevent freeze-thaw cycles. |
|---|---|
| Buffer/Preservatives | Liquid. Purified antibody supplied in 1x PBS buffer with 0.09% (w/v) sodium azide and 2% sucrose. |
| Concentration | 0.5 mg/ml |
| Expiration Date | 12 months from date of receipt. |
| Disclaimer | For research use only |
Alternative Names
−Similar Products
−SPT5/SUPT5H Rabbit Polyclonal Antibody [orb1147747]
ELISA, FC, ICC, IF, IHC, WB
Human, Mouse
Rabbit
Polyclonal
Unconjugated
100 μgSUPT5H Rabbit Polyclonal Antibody [orb574918]
WB
Bovine, Canine, Equine, Guinea pig, Mouse, Rabbit, Rat, Zebrafish
Human
Rabbit
Polyclonal
Unconjugated
100 μlSUPT5H Rabbit Polyclonal Antibody [orb412858]
WB
Human, Mouse, Rat
Rabbit
Polyclonal
Unconjugated
50 μl, 100 μl, 200 μl, 30 μl

Quality Guarantee
Explore bioreagents carefree to elevate your research. All our products are rigorously tested for performance. If a product does not perform as described on its datasheet, our scientific support team will provide expert troubleshooting, a prompt replacement, or a refund. For full details, please see our Terms & Conditions and Buying Guide. Contact us at support@biorbyt.com.

25 ug of the indicated Human whole cell or tissue extracts was loaded onto a 6-18% SDS-PAGE gel. 3 ug/ml of the antibody was used in this experiment. The peptide sequence is contained in an isoform present at ~105 kDa. The protein is heavily modified by phosphorylation.

Sample Tissue: Human Hela Whole Cell, Antibody dilution: 3 ug/ml.

Sample Tissue: Human PANC1 Whole Cell, Antibody dilution: 3 ug/ml.

Sample Tissue: Human THP-1 Whole Cell, Antibody dilution: 3 ug/ml.

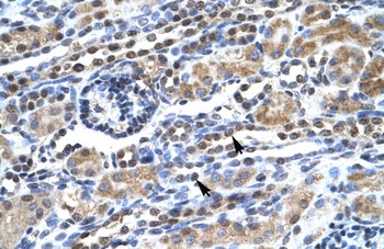
Human kidney

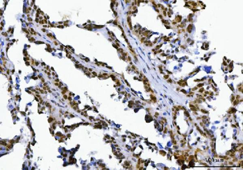
Human Pancreas

Rabbit Anti-SUPT5H Antibody, Paraffin Embedded Tissue: Human alveolar cell, Cellular Data: Epithelial cells of renal tubule, Antibody Concentration: 4.0-8.0 ug/ml, Magnification: 400X.

WB Suggested Anti-SUPT5H Antibody Titration: 0.2-1 ug/ml, ELISA Titer: 1:62500, Positive Control: HepG2 cell lysate.
Documents Download
Request a Document
Protocol Information
SUPT5H Rabbit Polyclonal Antibody (orb574637)
Participating in our Biorbyt product reviews program enables you to support fellow scientists by sharing your firsthand experience with our products.
Login to Submit a Review








