You have no items in your shopping cart.
SYCP3 Rabbit Polyclonal Antibody
Description
Research Area
Images & Validation
−| Tested Applications | IHC, WB |
|---|---|
| Reactivity | Human |
| Predicted Reactivity | Human |
Key Properties
−| Host | Rabbit |
|---|---|
| Clonality | Polyclonal |
| Immunogen | The immunogen is a synthetic peptide directed towards the N terminal region of human SYCP3 |
| Target | SYCP3 |
| Protein Sequence | Synthetic peptide located within the following region: VSSGKKYSRKSGKPSVEDQFTRAYDFETEDKKDLSGSEEDVIEGKTAVIE |
| Molecular Weight | 26kDa |
| Purification | Affinity Purified |
| Conjugation | Unconjugated |
Storage & Handling
−| Storage | Maintain refrigerated at 2-8°C for up to 2 weeks. For long term storage store at -20°C in small aliquots to prevent freeze-thaw cycles. |
|---|---|
| Buffer/Preservatives | Liquid. Purified antibody supplied in 1x PBS buffer with 0.09% (w/v) sodium azide and 2% sucrose. |
| Concentration | 0.5 mg/ml |
| Expiration Date | 12 months from date of receipt. |
| Disclaimer | For research use only |
Alternative Names
−Similar Products
−SCP3/SYCP3 Rabbit Polyclonal Antibody [orb865571]
ELISA, FC, ICC, IF, IHC, WB
Human, Mouse, Rat
Rabbit
Polyclonal
Unconjugated
100 μgSCP-3 rabbit pAb Antibody [orb766722]
ELISA, IHC, WB
Human, Mouse
Polyclonal
Unconjugated
100 μl, 50 μl

Quality Guarantee
Explore bioreagents carefree to elevate your research. All our products are rigorously tested for performance. If a product does not perform as described on its datasheet, our scientific support team will provide expert troubleshooting, a prompt replacement, or a refund. For full details, please see our Terms & Conditions and Buying Guide. Contact us at support@biorbyt.com.

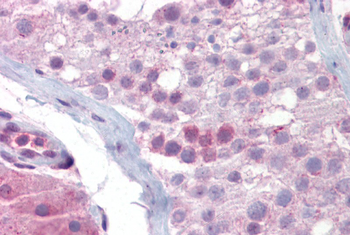
Immunohistochemistry with Testis tissue at an antibody concentration of 5 ug/ml using anti-SYCP3 antibody (orb583960).

WB Suggested Anti-SYCP3 Antibody Titration: 0.2-1 ug/ml, ELISA Titer: 1:312500, Positive Control: Jurkat cell lysate.
Documents Download
Request a Document
Protocol Information
SYCP3 Rabbit Polyclonal Antibody (orb583960)
Participating in our Biorbyt product reviews program enables you to support fellow scientists by sharing your firsthand experience with our products.
Login to Submit a Review











