You have no items in your shopping cart.
Syntaxin Antibody [SP6], Mouse IgG1
Description
Research Area
Images & Validation
−| Tested Applications | IHC, WB |
|---|---|
| Reactivity | Bovine, Canine, Guinea pig, Hamster, Human, Porcine, Rabbit, Rat |
Key Properties
−| Antibody Type | Primary Antibody |
|---|---|
| Clonality | Recombinant |
| Isotype | IgG1 kappa |
| Clone No. | SP6 |
| Immunogen | Synaptic vesicle-containing fractions immunoprecipitated from human brain homogenates. |
| Conjugation | Unconjugated |
Storage & Handling
−| Storage | Maintain refrigerated at 2-8°C for up to 2 weeks. For long term storage store at -20°C in small aliquots to prevent freeze-thaw cycles. |
|---|---|
| Buffer/Preservatives | PBS with 0.02% Proclin 300. |
| Concentration | batch dependent |
| Expiration Date | 12 months from date of receipt. |
| Disclaimer | For research use only |
Alternative Names
−
Quality Guarantee
Explore bioreagents carefree to elevate your research. All our products are rigorously tested for performance. If a product does not perform as described on its datasheet, our scientific support team will provide expert troubleshooting, a prompt replacement, or a refund. For full details, please see our Terms & Conditions and Buying Guide. Contact us at support@biorbyt.com.
![Syntaxin Antibody [SP6], Mouse IgG1](/images/pub/media/catalog/product/NewWebsite/15/orb1672082_1.jpg)
Immunohistochemical staining of rney using anti-syntaxin antibody orb1672082. Formalin fixed rney slices were were stained with orb1672082 at 3 ug/ml.
![Syntaxin Antibody [SP6], Mouse IgG1](/images/pub/media/catalog/product/NewWebsite/15/orb1672082_2.jpg)
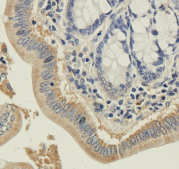
Immunohistochemical staining of rat colon using anti-syntaxin antibody orb1672082. Formalin fixed rat colon slices were were stained with orb1672082 at 3 ug/ml.
![Syntaxin Antibody [SP6], Mouse IgG1](/images/pub/media/catalog/product/NewWebsite/15/orb1672082_3.jpg)
Western Blot using anti-syntaxin antibody orb1672082. Rat kidney lysate was resolved on a 12% SDS PAGE gel and blots probed with orb1672082 at 3 ug/ml before being detected by a secondary antibody.
Documents Download
Request a Document
Protocol Information
Syntaxin Antibody [SP6], Mouse IgG1 (orb1672082)
Participating in our Biorbyt product reviews program enables you to support fellow scientists by sharing your firsthand experience with our products.
Login to Submit a Review