You have no items in your shopping cart.
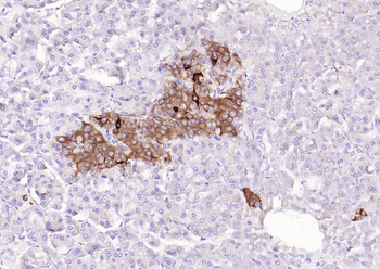
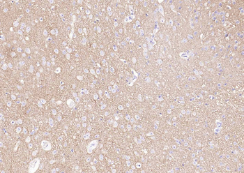
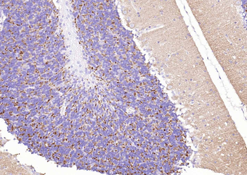
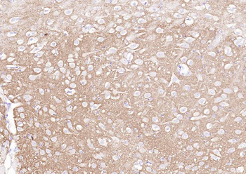
SYP Antibody
Description
Research Area
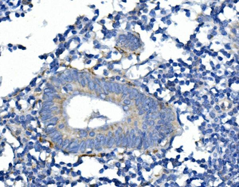
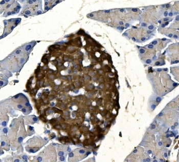
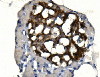
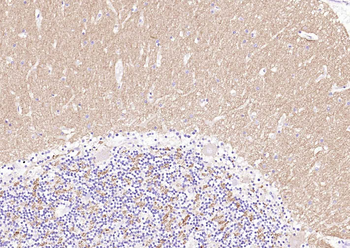
Images & Validation
−
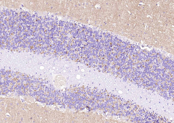
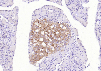
| Tested Applications | ELISA, IF, IHC, WB |
|---|---|
| Reactivity | Human |
Key Properties
−| Antibody Type | Recombinant Antibody |
|---|---|
| Host | Mouse |
| Clonality | Monoclonal |
| Isotype | mFc2a |
| Clone No. | 2B2 |
| Immunogen | Recombinant Human SYP protein |
| Target | SYP |
| Purification | Affinity-chromatography |
| Conjugation | Unconjugated |
Storage & Handling
−| Storage | Maintain refrigerated at 2-8°C for up to 2 weeks. For long term storage store at -20°C in small aliquots to prevent freeze-thaw cycles. |
|---|---|
| Form/Appearance | Liquid |
| Buffer/Preservatives | Preservative: 0.03% Proclin 300Constituents: 50% Glycerol, 0.01M PBS, pH 7.4 |
| Expiration Date | 12 months from date of receipt. |
| Disclaimer | For research use only |
Alternative Names
−Similar Products
−Synaptophysin Recombinant Rabbit Monoclonal Antibody [orb704356]
FC, IF, IHC-Fr, IHC-P, WB
Mouse, Rat
Human, Mouse, Rat
Rabbit
Recombinant
Unconjugated
50 μl, 100 μlSynaptophysin/SYP Rabbit Polyclonal Antibody [orb623902]
ICC, IF, IHC, WB
Human, Mouse, Rat
Rabbit
Polyclonal
Unconjugated
100 μgSynaptophysin Rabbit Polyclonal Antibody [orb1816709]
IF, IHC-Fr, IHC-P, WB
Mouse, Rat
Human, Mouse, Rat
Rabbit
Polyclonal
Unconjugated
100 μl, 50 μlSYP Antibody(C-term) [orb1927594]
FC, IF, IHC-P, WB
Rat
Human, Mouse
Rabbit
Polyclonal
Unconjugated
50 μl, 100 μl

Quality Guarantee
Explore bioreagents carefree to elevate your research. All our products are rigorously tested for performance. If a product does not perform as described on its datasheet, our scientific support team will provide expert troubleshooting, a prompt replacement, or a refund. For full details, please see our Terms & Conditions and Buying Guide. Contact us at support@biorbyt.com.
Quick Database Links
UniProt Details
−Documents Download
Request a Document
Protocol Information
SYP Antibody (orb2308831)
Participating in our Biorbyt product reviews program enables you to support fellow scientists by sharing your firsthand experience with our products.
Login to Submit a Review















































