You have no items in your shopping cart.
TAGLN2 Antibody
Description
Research Area
Images & Validation
−| Tested Applications | ELISA, FC, IF, IHC, IP, WB |
|---|---|
| Dilution range | WB: 1:200-1:2000; IP: 1:200-1:2000; IHC: 1:20-1:200; IF: 1:10-1:100; FC:N/A |
| Reactivity | Human, Mouse, Rat |
Key Properties
−| Antibody Type | Primary Antibody |
|---|---|
| Host | Rabbit |
| Clonality | Polyclonal |
| Isotype | IgG |
| Immunogen | transgelin 2 |
| Target | TAGLN2 |
| Molecular Weight | 22 kDa |
| Purity | ≥95% as determined by SDS-PAGE |
| Purification | Immunogen affinity purified |
| Conjugation | Unconjugated |
Storage & Handling
−| Storage | Maintain refrigerated at 2-8°C for up to 2 weeks. For long term storage store at -20°C in small aliquots to prevent freeze-thaw cycles. |
|---|---|
| Form/Appearance | liquid |
| Disclaimer | For research use only |
Alternative Names
−Similar Products
−TAGLN2 Antibody (C-term) [orb1936165]
IHC-P, WB
Mouse, Rat
Human
Rabbit
Polyclonal
Unconjugated
100 μl, 50 μlTAGLN2 Antibody [orb519502]
ELISA, IHC, WB
Human, Mouse, Rat
Rabbit
Polyclonal
Unconjugated
50 μl, 100 μlTAGLN2 Antibody [orb519503]
ELISA, IHC, WB
Human, Mouse, Rat
Rabbit
Polyclonal
Unconjugated
100 μl, 50 μl

Quality Guarantee
Explore bioreagents carefree to elevate your research. All our products are rigorously tested for performance. If a product does not perform as described on its datasheet, our scientific support team will provide expert troubleshooting, a prompt replacement, or a refund. For full details, please see our Terms & Conditions and Buying Guide. Contact us at support@biorbyt.com.

rat stomach tissue were subjected to SDS PAGE followed by western blot with orb395706 (Transgelin-2-specific Antibody) at dilution of 1:600.

IP Result of anti-Transgelin-2-specific (IP: orb395706, 3 ug; Detection: orb395706 1:500) with L02 cells lysate 1000 ug.

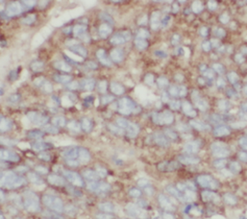
Immunohistochemistry of paraffin-embedded human kidney using orb395706 (Transgelin-2-specific antibody) at dilution of 1:50.
Quick Database Links
UniProt Details
−Documents Download
Request a Document
Protocol Information
TAGLN2 Antibody (orb395706)
Participating in our Biorbyt product reviews program enables you to support fellow scientists by sharing your firsthand experience with our products.
Login to Submit a Review










