You have no items in your shopping cart.
TARP Rabbit Polyclonal Antibody
Description
Research Area
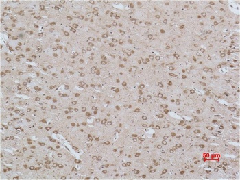
Images & Validation
−| Tested Applications | WB |
|---|---|
| Reactivity | Human |
| Predicted Reactivity | Equine, Mouse, Porcine, Rat |
Key Properties
−| Host | Rabbit |
|---|---|
| Clonality | Polyclonal |
| Immunogen | The immunogen is a synthetic peptide directed towards the N terminal region of human TARP |
| Target | TARP |
| Protein Sequence | Synthetic peptide located within the following region: YMKFSWLTVPEKSLDKEHRCIVRHENNKNGVDQEIIFPPIKTDVITMDPK |
| Molecular Weight | 13kDa |
| Purification | Affinity Purified |
| Conjugation | Unconjugated |
Storage & Handling
−| Storage | Maintain refrigerated at 2-8°C for up to 2 weeks. For long term storage store at -20°C in small aliquots to prevent freeze-thaw cycles. |
|---|---|
| Buffer/Preservatives | Liquid. Purified antibody supplied in 1x PBS buffer with 0.09% (w/v) sodium azide and 2% sucrose. |
| Concentration | 0.5 mg/ml |
| Expiration Date | 12 months from date of receipt. |
| Disclaimer | For research use only |
Alternative Names
−Similar Products
−CACNG5 Antibody (C-term) [orb1929929]
FC, IHC-P, WB
Mouse, Rat
Human
Rabbit
Polyclonal
Unconjugated
400 μlL-type Ca++ CP γ7 rabbit pAb Antibody [orb765603]
ELISA, WB
Human, Mouse, Rat
Polyclonal
Unconjugated
100 μl, 50 μl

Quality Guarantee
Explore bioreagents carefree to elevate your research. All our products are rigorously tested for performance. If a product does not perform as described on its datasheet, our scientific support team will provide expert troubleshooting, a prompt replacement, or a refund. For full details, please see our Terms & Conditions and Buying Guide. Contact us at support@biorbyt.com.

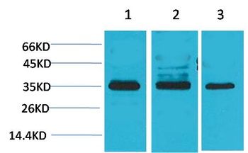
WB Suggested Anti-TARP Antibody, Titration: 1.0 ug/ml, Positive Control: Jurkat Whole Cell. There is BioGPS gene expression data showing that TARP is expressed in Jurkat.
Quick Database Links
UniProt Details
−NCBI Reference Sequences
−| Protein | NP_001003806 |
|---|
Documents Download
Request a Document
TARP Rabbit Polyclonal Antibody (orb584793)
Participating in our Biorbyt product reviews program enables you to support fellow scientists by sharing your firsthand experience with our products.
Login to Submit a Review









