You have no items in your shopping cart.
Tau (phospho Ser396) rabbit pAb Antibody
Description
Images & Validation
−| Tested Applications | ELISA, IF, IHC, WB |
|---|---|
| Dilution Range | IF: 1:50-200 WB 1:500-2000, IHC 1:50-300 IHC 1:50-300 |
| Reactivity | Human, Mouse, Rat |
Key Properties
−| Clonality | Polyclonal |
|---|---|
| Isotype | IgG |
| Immunogen | The antiserum was produced against synthesized peptide derived from human Tau around the phosphorylation site of Ser396. AA range:681-730 |
| Molecular Weight | 50-85 |
| Purification | The antibody was affinity-purified from rabbit antiserum by affinity-chromatography using epitope-specific immunogen. |
| Conjugation | Unconjugated |
Storage & Handling
−| Storage | Maintain refrigerated at 2-8°C for up to 2 weeks. For long term storage store at -20°C in small aliquots to prevent freeze-thaw cycles. |
|---|---|
| Buffer/Preservatives | PBS with 0.02% sodium azide and 50% glycerol pH 7.4. |
| Concentration | 1 mg/ml |
| Expiration Date | 12 months from date of receipt. |
| Disclaimer | For research use only |
Alternative Names
−Similar Products
−Tau (Phospho-Ser396) Rabbit pAb Antibody [orb771755]
ELISA, WB
Human, Mouse, Rat
Polyclonal
Unconjugated
50 μl, 100 μlphospho-Tau (Ser396) Rabbit pAb, AE conjugated [orb2846383]
ELISA
Human, Mouse, Rat
Rabbit
Polyclonal
AE
100 μlphospho-Tau (Ser396) Rabbit pAb, AP conjugated [orb2846384]
ELISA, WB
Human, Mouse, Rat
Rabbit
Polyclonal
AP
100 μlphospho-Tau (Ser396) Rabbit pAb, IRDye 800CW conjugated [orb2846385]
WB
Human, Mouse, Rat
Rabbit
Polyclonal
IRDye800
100 μlphospho-Tau (Ser396) Rabbit pAb, PerCP-Cy7 conjugated [orb2855504]
IF
Canine, Human
Mouse, Rat
Rabbit
Polyclonal
PerCP/Cy7
100 μl

Quality Guarantee
Explore bioreagents carefree to elevate your research. All our products are rigorously tested for performance. If a product does not perform as described on its datasheet, our scientific support team will provide expert troubleshooting, a prompt replacement, or a refund. For full details, please see our Terms & Conditions and Buying Guide. Contact us at support@biorbyt.com.

Immunofluorescence analysis of A549. 1, primary Antibody (red) was diluted at 1:200 (4°C overnight). 2, Goat Anti Rabbit IgG (H&L) - Alexa Fluor 594 Secondary antibody was diluted at 1:1000 (room temperature, 50min).3, Picture B: DAPI (blue) 10min.

Immunofluorescence analysis of Hela cell. 1, Tau (phospho Ser396) Polyclonal Antibody (green) was diluted at 1:200 (4°C overnight). 2, Goat Anti Rabbit Alexa Fluor 488 was diluted at 1:1000 (room temperature, 50min). 3 DAPI (blue) 10min.

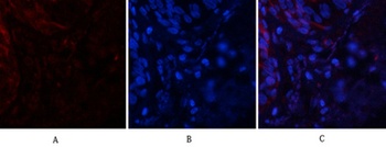
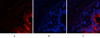
Immunofluorescence analysis of human-lung tissue. 1, Tau (phospho Ser396) Polyclonal Antibody (red) was diluted at 1:200 (4°C, overnight). 2, Cy3 labled Secondary antibody was diluted at 1:300 (room temperature, 50min).3, Picture B: DAPI (blue) 10min. Picture A:Target. Picture B: DAPI. Picture C: merge of A + B.

Immunofluorescence analysis of human-lung tissue. 1, Tau (phospho Ser396) Polyclonal Antibody (red) was diluted at 1:200 (4°C, overnight). 2, Cy3 labled Secondary antibody was diluted at 1:300 (room temperature, 50min).3, Picture B: DAPI (blue) 10min. Picture A:Target. Picture B: DAPI. Picture C: merge of A + B.
Documents Download
Request a Document
Protocol Information
Tau (phospho Ser396) rabbit pAb Antibody (orb764287)
Participating in our Biorbyt product reviews program enables you to support fellow scientists by sharing your firsthand experience with our products.
Login to Submit a Review
