You have no items in your shopping cart.
TCF3 Antibody (C-term)
Description
Research Area
Images & Validation
−| Tested Applications | FC, IHC-P, WB |
|---|---|
| Dilution Range | WB - 1:1000, FC - 1:10-50, IHC-P - 1:100-500 |
| Reactivity | Human, Mouse, Rat |
Key Properties
−| Antibody Type | Primary Antibody |
|---|---|
| Host | Rabbit |
| Clonality | Polyclonal |
| Isotype | Rabbit IgG |
| Molecular Weight | 67600 Da |
| Conjugation | Unconjugated |
Storage & Handling
−| Storage | Maintain refrigerated at 2-8°C for up to 2 weeks. For long term storage store at -20°C in small aliquots to prevent freeze-thaw cycles |
|---|---|
| Form/Appearance | Purified polyclonal antibody supplied in PBS with 0.09% (W/V) sodium azide. This antibody is purified through a protein A column, followed by peptide affinity purification. |
| Expiration Date | 12 months from date of receipt. |
| Disclaimer | For research use only |
Alternative Names
−Similar Products
−TCF3 Rabbit Polyclonal Antibody [orb214644]
IHC, WB
Gallus, Human
Rabbit
Polyclonal
Unconjugated
30 μl, 100 μl, 200 μl, 50 μl

Quality Guarantee
Explore bioreagents carefree to elevate your research. All our products are rigorously tested for performance. If a product does not perform as described on its datasheet, our scientific support team will provide expert troubleshooting, a prompt replacement, or a refund. For full details, please see our Terms & Conditions and Buying Guide. Contact us at support@biorbyt.com.

TCF3 Antibody (C-term) western blot analysis in mouse cerebellum tissue lysates (35 ug/lane). This demonstrates the TCF3 antibody detected the TCF3 protein (arrow).

TCF3 Antibody (C-term) western blot analysis in human uterine tumor tissue lysates (35 ug/lane). This demonstrates the TCF3 antibody detected the TCF3 protein (arrow).

TCF3 Antibody (C-term) flow cytometric analysis of A549 cells (right histogram) compared to a negative control cell (left histogram). FITC-conjugated goat-anti-rabbit secondary antibodies were used for the analysis.

All lanes: Anti-TCF3 Antibody (C-term) at 1:1000 dilution. Lane 1: Jurkat whole cell lysate. Lane 2: Ramos whole cell lysate. Lysates/proteins at 20 µg per lane. Secondary Goat Anti-Rabbit IgG, (H+L), Peroxidase conjugated at 1/10000 dilution. Predicted band size: 68 kDa. Blocking/Dilution buffer: 5% NFDM/TBST.

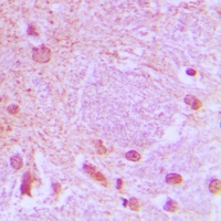
TCF3 Antibody (C-term) immunohistochemistry analysis in formalin fixed and paraffin embedded human tonsil tissue followed by peroxidase conjugation of the secondary antibody and DAB staining. This data demonstrates the use of TCF3 Antibody (C-term) for immunohistochemistry. Clinical relevance has not been evaluated.
Quick Database Links
UniProt Details
−Documents Download
Request a Document
Protocol Information
TCF3 Antibody (C-term) (orb1936235)
Participating in our Biorbyt product reviews program enables you to support fellow scientists by sharing your firsthand experience with our products.
Login to Submit a Review
