You have no items in your shopping cart.
TEC Rabbit Polyclonal Antibody
Description
Research Area
Images & Validation
−| Tested Applications | ELISA, IHC, WB |
|---|---|
| Dilution Range | WB: 1:200-1:2000; IHC: 1:50-1:200 |
| Reactivity | Human, Mouse, Rat |
Key Properties
−| Antibody Type | Primary Antibody |
|---|---|
| Host | Rabbit |
| Clonality | Polyclonal |
| Isotype | IgG |
| Immunogen | Megakaryocyte-associated tyrosine-protein kinase |
| Target | TEC |
| Molecular Weight | 56 kDa |
| Purity | ≥95% as determined by SDS-PAGE |
| Purification | Immunogen affinity purified |
| Conjugation | Unconjugated |
Storage & Handling
−| Storage | Maintain refrigerated at 2-8°C for up to 2 weeks. For long term storage store at -20°C in small aliquots to prevent freeze-thaw cycles. |
|---|---|
| Form/Appearance | liquid |
| Expiration Date | 12 months from date of receipt. |
| Disclaimer | For research use only |
Alternative Names
−Similar Products
−SOCS-1 Polyclonal Antibody [orb1412133]
IF, IHC-P, WB
Human, Mouse, Rat
Rabbit
Polyclonal
Unconjugated
100 μlNr4a3 Rabbit Polyclonal Antibody [orb576243]
WB
Bovine, Equine, Guinea pig, Human, Rabbit, Rat
Mouse
Rabbit
Polyclonal
Unconjugated
100 μlTyrosine-protein kinase Tec Tec Rabbit Polyclonal Antibody [orb137879]
IHC, WB
Human, Rat
Rabbit
Polyclonal
Unconjugated
100 μg

Quality Guarantee
Explore bioreagents carefree to elevate your research. All our products are rigorously tested for performance. If a product does not perform as described on its datasheet, our scientific support team will provide expert troubleshooting, a prompt replacement, or a refund. For full details, please see our Terms & Conditions and Buying Guide. Contact us at support@biorbyt.com.

K562 cells were subjected to SDS PAGE followed by western blot with orb756553 (MATK antibody) at dilution of 1:1000.

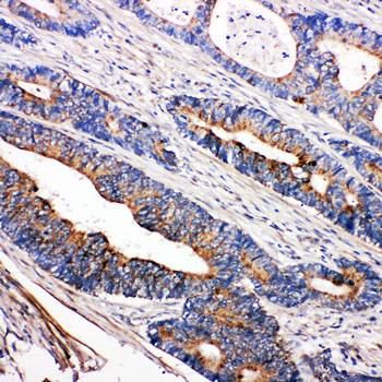
Immunohistochemistry of paraffin-embedded human colon cancer tissue slide using orb756553 (MATK antibody) at dilution of 1:200.
Quick Database Links
UniProt Details
−Documents Download
Request a Document
Protocol Information
TEC Rabbit Polyclonal Antibody (orb756553)
Participating in our Biorbyt product reviews program enables you to support fellow scientists by sharing your firsthand experience with our products.
Login to Submit a Review





















