You have no items in your shopping cart.
TFAM Antibody
Description
Research Area
Images & Validation
−| Tested Applications | IHC, WB |
|---|---|
| Reactivity | Human, Mouse, Rat |
| Application Notes |
Key Properties
−| Antibody Type | Primary Antibody |
|---|---|
| Host | Rabbit |
| Clonality | Polyclonal |
| Isotype | IgG |
| Immunogen | Recombinant fusion protein containing a sequence corresponding to amino acids 1-220 of human TFAM (NP_003192.1). |
| Target | TFAM |
| Molecular Weight | Observed: 24kDa |
| Purification | Affinity purification |
| Conjugation | Unconjugated |
Storage & Handling
−| Storage | Maintain refrigerated at 2-8°C for up to 2 weeks. For long term storage store at -20°C in small aliquots to prevent freeze-thaw cycles. |
|---|---|
| Form/Appearance | Liquid |
| Buffer/Preservatives | PBS with 0.02% sodium azide, 50% glycerol, pH 7.3. |
| Concentration | batch dependent |
| Expiration Date | 12 months from date of receipt. |
| Disclaimer | For research use only |
Alternative Names
−Similar Products
−TFAM Antibody (C-term) [orb1939068]
FC, IF, IHC-P, WB
Human
Rabbit
Polyclonal
Unconjugated
100 μl, 50 μlmtTFA rabbit pAb Antibody [orb770250]
ELISA, IF, IHC, WB
Bovine, Human, Mouse, Rat
Polyclonal
Unconjugated
50 μl, 100 μlHuman Transcription Factor A, Mitochondrial (TFAM) ELISA Kit [orb777320]
Human
0.32-20 ng/mL
0.118 ng/mL
96 T, 48 TMouse Transcription Factor A, Mitochondrial (TFAM) ELISA Kit [orb780878]
Mouse
0.32-20 ng/mL
0.116 ng/mL
48 T, 96 TMtTF1/TFAM Rabbit Polyclonal Antibody [orb1695]
FC
Mouse, Rat
Human
Rabbit
Polyclonal
Unconjugated
50 μl, 100 μl, 200 μl

Quality Guarantee
Explore bioreagents carefree to elevate your research. All our products are rigorously tested for performance. If a product does not perform as described on its datasheet, our scientific support team will provide expert troubleshooting, a prompt replacement, or a refund. For full details, please see our Terms & Conditions and Buying Guide. Contact us at support@biorbyt.com.

Western blot analysis of extracts of various cell lines, using TFAM antibody (orb1260360) at 1:1000 dilution. Secondary antibody: HRP Goat Anti-Rabbit IgG (H+L) at 1:10000 dilution. Lysates/proteins: 25 ug per lane. Blocking buffer: 3% nonfat dry milk in TBST.

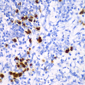
Immunohistochemistry of paraffin-embedded mouse spleen using TFAM antibody (orb1260360) at dilution of 1:100 (40x lens).

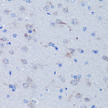
Immunohistochemistry of paraffin-embedded rat brain using TFAM antibody (orb1260360) at dilution of 1:100 (40x lens).

Immunohistochemistry of paraffin-embedded human tonsil using TFAM antibody (orb1260360) at dilution of 1:100 (40x lens).

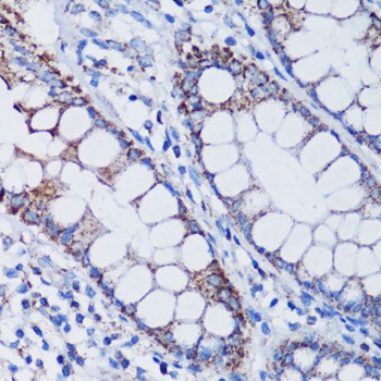
Immunohistochemistry of paraffin-embedded human colon using TFAM antibody (orb1260360) at dilution of 1:100 (40x lens).

Immunohistochemistry of paraffin-embedded human colon carcinoma using TFAM antibody (orb1260360) at dilution of 1:100 (40x lens).

Immunohistochemistry of paraffin-embedded human appendix using TFAM antibody (orb1260360) at dilution of 1:100 (40x lens).

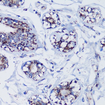
Immunohistochemistry of paraffin-embedded human breast using TFAM antibody (orb1260360) at dilution of 1:100 (40x lens).

Immunohistochemistry of paraffin-embedded human breast cancer using TFAM antibody (orb1260360) at dilution of 1:100 (40x lens).

Immunohistochemistry of paraffin-embedded mouse brain using SET antibody (orb1260886) at dilution of 1:100 (40x lens).
Quick Database Links
UniProt Details
−Documents Download
Request a Document
Protocol Information
TFAM Antibody (orb1260360)
Participating in our Biorbyt product reviews program enables you to support fellow scientists by sharing your firsthand experience with our products.
Login to Submit a Review












