You have no items in your shopping cart.
TFAP2A Antibody
Description
Images & Validation
−| Tested Applications | FC, IHC |
|---|---|
| Dilution Range | IHC: 1/200 - 1/1000; FCM: 1/200 - 1/400; ELISA: 1/10000 |
| Reactivity | Human, Monkey, Mouse, Rat |
Key Properties
−| Antibody Type | Primary Antibody |
|---|---|
| Host | Mouse |
| Clonality | Monoclonal |
| Isotype | Mouse IgG1 |
| Clone No. | 7D2B5 |
| Immunogen | Purified recombinant fragment of human TFAP2A (AA: 1-100) expressed in E. Coli. |
| Target | Disease |
| Molecular Weight | 48kDa |
| Conjugation | Unconjugated |
Storage & Handling
−| Storage | Maintain refrigerated at 2-8°C for up to 2 weeks. For long term storage store at -20°C in small aliquots to prevent freeze-thaw cycles. |
|---|---|
| Buffer/Preservatives | Purified antibody in PBS with 0.05% sodium azide |
| Concentration | Approximately 1mg/ml (varies from batch to batch). Please inquire for precise concentration. |
| Expiration Date | 12 months from date of receipt. |
| Disclaimer | For research use only |
Alternative Names
−Similar Products
−TFAP2A Antibody [orb2309714]
FC, IHC
Human
Mouse
Monoclonal
Unconjugated
100 μg, 20 μg, 100 μg (without BSA and Azide)AP2 alpha/beta Rabbit Polyclonal Antibody [orb214653]
ChIP, EMSA, IF, IHC, WB
Gallus, Human, Mouse, Porcine, Rat, Sheep
Rabbit
Polyclonal
Unconjugated
100 μl, 200 μl, 30 μl, 50 μlTFAP2A Rabbit Polyclonal Antibody [orb329977]
WB
Bovine, Canine, Equine, Guinea pig, Rabbit, Rat, Sheep, Zebrafish
Human, Mouse
Rabbit
Polyclonal
Unconjugated
100 μl

Quality Guarantee
Explore bioreagents carefree to elevate your research. All our products are rigorously tested for performance. If a product does not perform as described on its datasheet, our scientific support team will provide expert troubleshooting, a prompt replacement, or a refund. For full details, please see our Terms & Conditions and Buying Guide. Contact us at support@biorbyt.com.

Flow cytometric analysis of MCF-7 cells using TFAP2A antibody

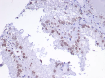
Immunohistochemical analysis of formalin-fixed and paraffin-embedded ovarian cancer tissues using TFAP2A antibody

Immunohistochemical analysis of formalin-fixed and paraffin-embedded TFAP2A tissues using TFAP2A antibody

Western blot analysis of human recombinant protein using TFAP2A antibody

Western blot analysis of HEK293 using TFAP2A antibody

Western blot analysis of Hela (Lane1), MCF-7 (Lane2), Cos7 (Lane3), A431 (Lane4), HCT116 (Lane5), NIH/3T3 (Lane6), and PC12 (Lane7) cell lysate using TFAP2A antibody

ELISA Black line: Control Antigen (100 ng); Purple line: Antigen(10ng); Blue line: Antigen (50 ng); Red line: Antigen (100 ng)

Flow cytometric analysis of Hela cells using TFAP2A antibody
Documents Download
Request a Document
Protocol Information
TFAP2A Antibody (orb334032)
Participating in our Biorbyt product reviews program enables you to support fellow scientists by sharing your firsthand experience with our products.
Login to Submit a Review

















