You have no items in your shopping cart.
Recombinant Thrombomodulin Antibody / CD141
Description
Research Area
Images & Validation
−| Tested Applications | ELISA, IHC-P |
|---|---|
| Dilution Range | ELISA: 2-4ug/ml (order BSA/azide-free format),Immunohistochemistry (FFPE): 1-2ug/ml for 30 min at RT |
| Reactivity | Human |
| Application Notes |
Key Properties
−| Antibody Type | Primary Antibody |
|---|---|
| Host | Mouse |
| Clonality | Recombinant |
| Isotype | Mouse IgG1, kappa |
| Clone No. | rTHBD/1591 |
| Immunogen | Human recombinant partial protein corresponding to amino acids 69-194 was used as the immunogen for this recombinant Thrombomodulin antibody. |
| Purification | Protein G affinity chromatography |
| Conjugation | Unconjugated |
Storage & Handling
−| Storage | Maintain refrigerated at 2-8°C for up to 2 weeks. For long term storage store at -20°C in small aliquots to prevent freeze-thaw cycles. |
|---|---|
| Buffer/Preservatives | 0.2 mg/ml in 1X PBS with 0.1 mg/ml rAlbumin and 0.05% sodium azide |
| Expiration Date | 12 months from date of receipt. |
| Disclaimer | For research use only |
Similar Products
−Recombinant Thrombomodulin Antibody / CD141 [orb2640526]
ELISA, IHC-P
Human
Mouse
Recombinant
Unconjugated
100 μgRecombinant Thrombomodulin Antibody / CD141 [orb2640525]
IHC-P
Human
Mouse
Recombinant
Unconjugated
7 ml

Quality Guarantee
Explore bioreagents carefree to elevate your research. All our products are rigorously tested for performance. If a product does not perform as described on its datasheet, our scientific support team will provide expert troubleshooting, a prompt replacement, or a refund. For full details, please see our Terms & Conditions and Buying Guide. Contact us at support@biorbyt.com.

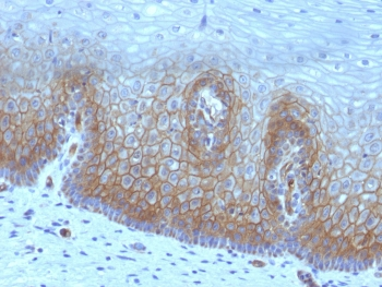
IHC testing of FFPE human cervical carcinoma with recombinant Thrombomodulin antibody (clone rTHBD/1591). HIER: boil tissue sections in 10mM Tris buffer with 1mM EDTA, pH9, for 10-20 min followed by cooling at RT for 20 min.

IHC testing of FFPE human placenta with recombinant Thrombomodulin antibody (clone rTHBD/1591). HIER: boil tissue sections in 10mM Tris buffer with 1mM EDTA, pH9, for 10-20 min followed by cooling at RT for 20 min.

SDS-PAGE analysis of purified, BSA-free recombinant Thrombomodulin antibody (clone rTHBD/1591) as confirmation of integrity and purity.

Analysis of HuProt (TM) microarray containing more than 19, 000 full-length human proteins using Thrombomodulin antibody (clone rTHBD/1591). These results demonstrate the foremost specificity of the rTHBD/1591 mAb. Z- and S- score: The Z-score represents the strength of a signal that an antibody (in combination with a fluorescently-tagged anti-IgG secondary Ab) produces when binding to a particular protein on the HuProt (TM) array. Z-scores are described in units of standard deviations (SD's) above the mean value of all signals generated on that array. If the targets on the HuProt (TM) are arranged in descending order of the Z-score, the S-score is the difference (also in units of SD's) between the Z-scores. The S-score therefore represents the relative target specificity of an Ab to its intended target.
Quick Database Links
UniProt Details
−Documents Download
Request a Document
Protocol Information
Recombinant Thrombomodulin Antibody / CD141 (orb606386)
Participating in our Biorbyt product reviews program enables you to support fellow scientists by sharing your firsthand experience with our products.
Login to Submit a Review





