You have no items in your shopping cart.
THY1 Antibody
Description
Images & Validation
−| Tested Applications | ICC, IHC, WB |
|---|---|
| Dilution Range | WB: 1/500 - 1/2000; IHC: 1/200 - 1/1000; IF/ICC: 1/200 - 1/1000; ELISA: 1/10000 |
| Reactivity | Human, Rat |
Key Properties
−| Antibody Type | Primary Antibody |
|---|---|
| Host | Mouse |
| Clonality | Monoclonal |
| Isotype | Mouse IgG1 |
| Clone No. | 7E1B11 |
| Immunogen | Purified recombinant fragment of human THY1 (AA: 17-132) expressed in E. Coli. |
| Target | THY1 |
| Molecular Weight | 18kDa |
| Conjugation | Unconjugated |
Storage & Handling
−| Storage | Maintain refrigerated at 2-8°C for up to 2 weeks. For long term storage store at -20°C in small aliquots to prevent freeze-thaw cycles. |
|---|---|
| Buffer/Preservatives | Purified antibody in PBS with 0.05% sodium azide |
| Concentration | Approximately 1mg/ml (varies from batch to batch). Please inquire for precise concentration. |
| Expiration Date | 12 months from date of receipt. |
| Disclaimer | For research use only |
Alternative Names
−Similar Products
−CD90/Thy-1 Recombinant Rabbit Monoclonal Antibody [orb1816877]
IF, IHC-Fr, IHC-P, WB
Mouse, Rat
Human, Mouse, Rat
Rabbit
Recombinant
Unconjugated
25 μl, 100 μl, 50 μlCD90/Thy-1 Mouse Monoclonal Antibody [orb1574985]
FC, IF, IHC-Fr, IHC-P, WB
Human
Mouse
Monoclonal
Unconjugated
200 μg, 50 μl, 100 μl, 200 μlCD90/Thy-1 Rabbit Polyclonal Antibody [orb11477]
FC, IF, IHC-Fr, IHC-P, WB
Canine, Equine, Porcine, Rabbit, Sheep
Human, Mouse, Rat
Rabbit
Polyclonal
Unconjugated
50 μl, 100 μl, 200 μl

Quality Guarantee
Explore bioreagents carefree to elevate your research. All our products are rigorously tested for performance. If a product does not perform as described on its datasheet, our scientific support team will provide expert troubleshooting, a prompt replacement, or a refund. For full details, please see our Terms & Conditions and Buying Guide. Contact us at support@biorbyt.com.

Line graph illustrates about the Ag-Ab reactions using different concentrations of antigen and serial dilutions of THY1 antibody

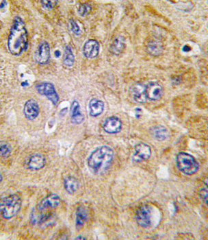
Immunohistochemical analysis of formalin-fixed and paraffin-embedded endometrial cancer tissues using THY1 antibody

Immunohistochemical analysis of formalin-fixed and paraffin-embedded cerebellum tissues using THY1 antibody

Western blot analysis of human THY1 using THY1 antibody

Western blot analysis of HEK293 (Lane 1) HEK293 (Lane 2) cell lysate using THY1 antibody

Western blot analysis of T47D (Lane 1), HepG2 (Lane 2) PC-12 (Lane 3) cell lysate using THY1 antibody
Documents Download
Request a Document
Protocol Information
THY1 Antibody (orb153499)
Participating in our Biorbyt product reviews program enables you to support fellow scientists by sharing your firsthand experience with our products.
Login to Submit a Review





































