You have no items in your shopping cart.
TIGIT Antibody
Description
Research Area
Images & Validation
−| Tested Applications | ELISA, FC, ICC, IF, IHC-P, WB |
|---|---|
| Reactivity | Human |
| Application Notes |
Key Properties
−| Antibody Type | Primary Antibody |
|---|---|
| Host | Mouse |
| Clonality | Monoclonal |
| Isotype | IgG1 |
| Clone No. | 4A10 |
| Immunogen | TIGIT antibody was raised against the extracellular domain of human TIGIT |
| Target | TIGIT |
| Molecular Weight | Predicted: 26 kDa Observed: 47 kDa |
| Purification | TIGIT Antibody is supplied as protein A purified IgG1. |
| Conjugation | Unconjugated |
Storage & Handling
−| Storage | Maintain refrigerated at 2-8°C for up to 2 weeks. For long term storage store at -20°C in small aliquots to prevent freeze-thaw cycles. |
|---|---|
| Form/Appearance | Liquid |
| Buffer/Preservatives | TIGIT Antibody is supplied in PBS containing 0.02% sodium azide and 50% glycerol. |
| Concentration | 1 mg/mL |
| Expiration Date | 12 months from date of receipt. |
| Disclaimer | For research use only |
Alternative Names
−Similar Products
−TIGIT Antibody [orb1240140]
ELISA, FC, ICC, IF, IHC-P, WB
Human
Mouse
Monoclonal
Unconjugated
0.1 mg, 0.02 mgTIGIT Antibody [orb1240146]
ELISA, FC, ICC, IF, IHC-P, WB
Human
Mouse
Monoclonal
Unconjugated
0.1 mg, 0.02 mgTIGIT/VSIG9/VSTM3 Antibody [orb1806303]
ELISA, FA, FACS, In vivo
Human, Monkey, Mouse
Monoclonal
Unconjugated
1 mg, 100 μgTIGIT Antibody [orb1274204]
ELISA, FC, ICC, IF, IHC-P
Human
Camelus
Recombinant
Unconjugated
0.1 mg, 0.02 mg

Quality Guarantee
Explore bioreagents carefree to elevate your research. All our products are rigorously tested for performance. If a product does not perform as described on its datasheet, our scientific support team will provide expert troubleshooting, a prompt replacement, or a refund. For full details, please see our Terms & Conditions and Buying Guide. Contact us at support@biorbyt.com.

Western blot analysis of TIGIT in over expressing HEK293 cells using orb1240137 antibody at (A) 0.25 μg/ml, (B) 0.5 μg/ml, and (C) 1 μg/ml.

Immunocytochemistry of TIGIT in over expressing HEK293 cells using TIGIT antibody and control mouse IgG antibody (left corner box) at 1 μg/ml.

Immunofluorescence of TIGIT in over expressing HEK293 cells using TIGIT Antibody at 1 μg/ml. Green: TIGIT Antibody [4A10] (orb1240137) Blue: DAPI staining

Immunofluorescence of TIGIT in human stomach carcinoma tissue using TIGIT Antibody at 5 μg/ml. Green: TIGIT Antibody [4A10] (orb1240137) Blue: DAPI staining

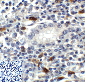
Immunohistochemistry of TIGIT in human stomach carcinoma tissue using TIGIT Antibody and control mouse IgG (corner box) at 2 μg/ml.

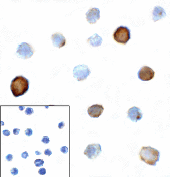
Flow cytometry analysis of TIGIT over expressing HEK293 cells using TIGIT antibody at 1 μg/ml. Blue: untransfected HEK293 cells. Yellow: TIGIT over expressing HEK293 cells.

Titration curve analysis of TIGIT mAbs to detect recombinant TIGIT in ELISA with orb1240147, orb1240136, orb1240137, orb1240140, orb1240146 and orb1240115 antibodies at decreasing concentrations.
Documents Download
Request a Document
Protocol Information
TIGIT Antibody (orb1240137)
Participating in our Biorbyt product reviews program enables you to support fellow scientists by sharing your firsthand experience with our products.
Login to Submit a Review




























