You have no items in your shopping cart.
TIMP-1 Rabbit Polyclonal Antibody
Description
Images & Validation
−| Tested Applications | WB |
|---|---|
| Dilution range | WB=1:500-2000 |
| Reactivity | Human |
| Predicted Reactivity | Bovine, Canine, Mouse, Porcine, Rabbit, Sheep |
Key Properties
−| Antibody Type | Primary Antibody |
|---|---|
| Host | Rabbit |
| Clonality | Polyclonal |
| Isotype | IgG |
| Immunogen | KLH conjugated synthetic peptide derived from human TIMP-1 (131-207/207aa) |
| Target | TIMP1 |
| Molecular Weight | 21 kDa |
| Purification | Affinity purified by Protein A |
| Conjugation | Unconjugated |
Storage & Handling
−| Storage | Maintain refrigerated at 2-8°C for up to 2 weeks. For long term storage store at -20°C in small aliquots to prevent freeze-thaw cycles. |
|---|---|
| Form/Appearance | Liquid |
| Buffer/Preservatives | 0.01M TBS (pH7.4) with 1% rAlbumin, 0.02% Proclin300 and 50% Glycerol. |
| Concentration | 1mg/ml |
| Disclaimer | For research use only |
Alternative Names
−Similar Products
−TIMP-1 Rabbit Polyclonal Antibody [orb313247]
WB
Bovine, Canine, Porcine, Rat, Sheep
Human
Rabbit
Polyclonal
Unconjugated
100 μl, 200 μl, 50 μlTIMP-1 Polyclonal Antibody [orb1411955]
IF, IHC-P, WB
Human, Mouse, Rat
Rabbit
Polyclonal
Unconjugated
100 μlTIMP-1 rabbit pAb [orb766484]
ELISA, IF, IHC-P, WB
Human, Mouse, Rabbit, Rat
Polyclonal
Unconjugated
50 μl, 100 μlTIMP1 Rabbit Polyclonal Antibody [orb584245]
WB
Bovine, Canine, Equine, Goat, Guinea pig, Mouse, Rabbit, Rat, Sheep
Human
Rabbit
Polyclonal
Unconjugated
100 μl

Quality Guarantee
Explore bioreagents carefree to elevate your research. All our products are rigorously tested for performance. If a product does not perform as described on its datasheet, our scientific support team will provide expert troubleshooting, a prompt replacement, or a refund. For full details, please see our Terms & Conditions and Buying Guide. Contact us at support@biorbyt.com.

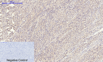
Paraformaldehyde-fixed, paraffin embedded (human esophagus cancer), Antigen retrieval by boiling in sodium citrate buffer (pH6.0) for 15 min, Block endogenous peroxidase by 3% hydrogen peroxide for 20 minutes, Blocking buffer (normal goat serum) at 37°C for 30 min, Antibody incubation with (TIMP-1) Polyclonal Antibody, Unconjugated (orb100174) at 1:2000 overnight at 4°C, followed by operating according to SP Kit (Rabbit) instructionsand DAB staining.

Paraformaldehyde-fixed, paraffin embedded (human esophagus cancer), Antigen retrieval by boiling in sodium citrate buffer (pH6.0) for 15 min, Block endogenous peroxidase by 3% hydrogen peroxide for 20 minutes, Blocking buffer (normal goat serum) at 37°C for 30 min, Antibody incubation with (TIMP-1) Polyclonal Antibody, Unconjugated (orb100174) at 1:2000 overnight at 4°C, followed by operating according to SP Kit (Rabbit) instructionsand DAB staining.

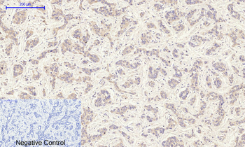
Paraformaldehyde-fixed, paraffin embedded (rat pancreas), Antigen retrieval by boiling in sodium citrate buffer (pH6.0) for 15 min, Block endogenous peroxidase by 3% hydrogen peroxide for 20 minutes, Blocking buffer (normal goat serum) at 37°C for 30 min, Antibody incubation with (TIMP-1) Polyclonal Antibody, Unconjugated (orb100174) at 1:200 overnight at 4°C, followed by operating according to SP Kit (Rabbit) instructionsand DAB staining.

Sample: Lane 1: TIMP-1 fusion protein (orb1516662) 0.2 ug, Primary: Anti-TIMP-1 (orb100174) at 1/1000 dilution, Secondary: IRDye800CW Goat Anti-Rabbit IgG at 1/20000 dilution, Predicted band size: 21kDa, Observed band size: 25kDa.

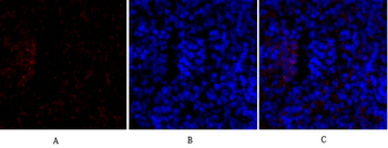
Tissue/cell: human colon carcinoma, 4% Paraformaldehyde-fixed and paraffin-embedded, Antigen retrieval: citrate buffer (0.01M, pH 6.0), Boiling bathing for 15 min, Block endogenous peroxidase by 3% Hydrogen peroxide for 30 min, Blocking buffer (normal goat serum) at 37℃ for 20 min, Incubation: Anti-TIMP-1 (CT) Polyclonal Antibody, Unconjugated (orb100174) 1:200, overnight at 4°C, followed by conjugation to the secondary antibody and DAB staining.
Quick Database Links
UniProt Details
−Documents Download
Request a Document
TIMP-1 Rabbit Polyclonal Antibody (orb100174)
Participating in our Biorbyt product reviews program enables you to support fellow scientists by sharing your firsthand experience with our products.
Login to Submit a Review


















