You have no items in your shopping cart.
TIMP2 Antibody
Description
Research Area
Images & Validation
−| Tested Applications | FC, IF, IHC-P, WB |
|---|---|
| Dilution Range | IF - 1:25, IHC - 1:200, FC - 1:25, WB - 1:2000, IHC-P - 1:100-500 |
| Reactivity | Human, Mouse, Rat |
Key Properties
−| Host | Mouse |
|---|---|
| Clonality | Monoclonal |
| Isotype | IgG1,κ |
| Molecular Weight | 24399 Da |
| Conjugation | Unconjugated |
Storage & Handling
−| Storage | Maintain refrigerated at 2-8°C for up to 2 weeks. For long term storage store at -20°C in small aliquots to prevent freeze-thaw cycles |
|---|---|
| Form/Appearance | Purified monoclonal antibody supplied in PBS with 0.09% (W/V) sodium azide. This antibody is purified through a protein G column, followed by dialysis against PBS. |
| Expiration Date | 12 months from date of receipt. |
| Disclaimer | For research use only |
Similar Products
−TIMP-2 Rabbit Polyclonal Antibody [orb158609]
IF, IHC-Fr, IHC-P, WB
Bovine, Canine, Equine, Human, Porcine, Sheep
Mouse, Rat
Rabbit
Polyclonal
Unconjugated
50 μl, 100 μl, 200 μlTIMP-2 rabbit pAb Antibody [orb766485]
ELISA, IF, IHC, WB
Human, Mouse, Rat
Polyclonal
Unconjugated
100 μlMouse Human Tissue Inhibitor of Matrix Metalloproteinase 2 (TIMP2) Antibody [orb109163]
ELISA, IHC, WB
Human, Porcine, Rabbit, Zebrafish
Mouse
Monoclonal
Unconjugated
200 μgHuman Tissue Inhibitors of Metalloproteinase 2 (TIMP2) ELISA Kit [orb776176]
Human
0.94-60 ng/mL
0.42 ng/mL
48 T, 96 THorse Tissue Inhibitors of Metalloproteinase 2 (TIMP2) ELISA Kit [orb779686]
Equine
7.82-500 ng/mL
2.8 ng/mL
96 T, 48 T

Quality Guarantee
Explore bioreagents carefree to elevate your research. All our products are rigorously tested for performance. If a product does not perform as described on its datasheet, our scientific support team will provide expert troubleshooting, a prompt replacement, or a refund. For full details, please see our Terms & Conditions and Buying Guide. Contact us at support@biorbyt.com.

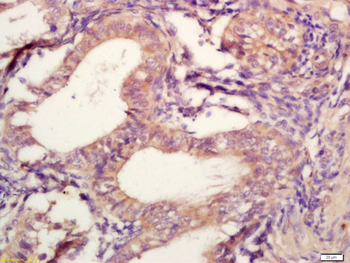
Immunohistochemical analysis of paraffin-embedded Human kidney section using Pink1. Diluted at 1: 200 dilution. A undiluted biotinylated goat polyvalent antibody was used as the secondary, followed by DAB staining.

Anti-TIMP2 Antibody at 1:500 dilution + SW480 whole cell lysate. Lysates/proteins at 20 µg per lane. Secondary Goat Anti-mouse IgG, (H+L), Peroxidase conjugated at 1/10000 dilution. Predicted band size: 24 kDa. Blocking/Dilution buffer: 5% NFDM/TBST.

Anti-TIMP2 Antibody at 1:2000 dilution + HT-1080 whole cell lysate. Lysates/proteins at 20 µg per lane. Secondary Goat Anti-mouse IgG, (H+L), Peroxidase conjugated at 1/10000 dilution. Predicted band size: 24 kDa. Blocking/Dilution buffer: 5% NFDM/TBST.

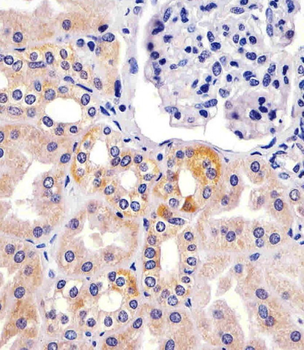
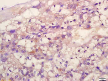
Staining TIMP2 in human kidney sections by Immunohistochemistry (IHC-P - paraformaldehyde-fixed, paraffin-embedded sections). Tissue was fixed with formaldehyde and blocked with 3% BSA for 0.5 hour at room temperature; antigen retrieval was by heat mediation with a citrate buffer (pH6). Samples were incubated with primary antibody (1/25) for 1 hours at 37°C. A undiluted biotinylated goat polyvalent antibody was used as the secondary antibody.

Immunofluorescent analysis of 4% paraformaldehyde-fixed, 0.1% Triton X-100 permeabilized A549 (human lung adenocarcinoma epithelial cell line) cells labeling TIMP2 at 1/25 dilution, followed by Dylight 488-conjugated goat anti-mouse IgG secondary antibody at 1/200 dilution (green). Immunofluorescence image showing cytoplasm staining on A549 cell line. Cytoplasmic actin is detected with Dylight 554 Phalloidin at 1/100 dilution (red).The nuclear counter stain is DAPI (blue).

Overlay histogram showing K562 cells stained (green line). The cells were fixed with 2% paraformaldehyde (10 min) and then permeabilized with 90% methanol for 10 min. The cells were then icubated in 2% bovine serum albumin to block non-specific protein-protein interactions followed by the antibody (1:25 dilution) for 60 min at 37°C. The secondary antibody used was Goat-Anti-Mouse IgG, DyLight 488 Conjugated Highly Cross-Adsorbed at 1/400 dilution for 40 min at 37°C. Isotype control antibody (blue line) was mouse IgG1 (1 μg/1x10^6 cells) used under the same conditions. Acquisition of > 10000 events was performed.
Quick Database Links
UniProt Details
−Documents Download
Request a Document
Protocol Information
TIMP2 Antibody (orb1926092)
Participating in our Biorbyt product reviews program enables you to support fellow scientists by sharing your firsthand experience with our products.
Login to Submit a Review










