You have no items in your shopping cart.
TMIGD2 Antibody
Description
Research Area
Images & Validation
−| Tested Applications | ELISA, IF, IHC |
|---|---|
| Dilution range | IHC-P:1:20-200, IF:1:50-200 |
| Reactivity | Human |
Key Properties
−| Host | Rabbit |
|---|---|
| Clonality | Polyclonal |
| Isotype | IgG |
| Immunogen | Recombinant Human Transmembrane and immunoglobulin domain-containing protein 2 protein (23-150AA) |
| Target | TMIGD2 |
| Purification | >95%, Protein G purified |
| Conjugation | Unconjugated |
Storage & Handling
−| Storage | Maintain refrigerated at 2-8°C for up to 2 weeks. For long term storage store at -20°C in small aliquots to prevent freeze-thaw cycles. |
|---|---|
| Form/Appearance | Liquid |
| Buffer/Preservatives | Preservative: 0.03% Proclin 300. Constituents: 50% Glycerol |
| Disclaimer | For research use only |
Alternative Names
−Similar Products
−TMIGD2 Antibody [orb1240216]
ELISA, FC, ICC, IF, IHC-P, WB
Human
Mouse
Monoclonal
Unconjugated
0.1 mg, 0.02 mgTMIGD2 Antibody [orb1238639]
ELISA, ICC, IF, IHC-P, WB
Human
Mouse
Monoclonal
Unconjugated
0.1 mg, 0.02 mgTMIGD2/CD28H/IGPR1 Mouse Monoclonal Antibody (PerCP) [orb2971394]
FC
Human
Mouse
Monoclonal
PerCP
100 T, 50 T

Quality Guarantee
Explore bioreagents carefree to elevate your research. All our products are rigorously tested for performance. If a product does not perform as described on its datasheet, our scientific support team will provide expert troubleshooting, a prompt replacement, or a refund. For full details, please see our Terms & Conditions and Buying Guide. Contact us at support@biorbyt.com.

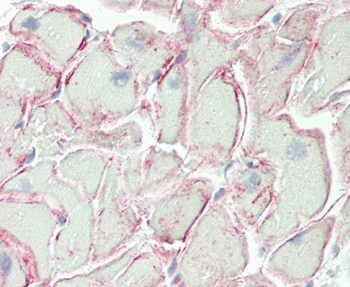
Immunohistochemical staining of human kidney tissue using TMIGD2 antibody

Immunofluorescence analysis of PC3 cells using TMIGD2 antibody
Quick Database Links
UniProt Details
−Documents Download
Request a Document
Protocol Information
TMIGD2 Antibody (orb51938)
Participating in our Biorbyt product reviews program enables you to support fellow scientists by sharing your firsthand experience with our products.
Login to Submit a Review














