You have no items in your shopping cart.
TNF α Mouse mAb Antibody
Description
Images & Validation
−| Tested Applications | IHC, WB |
|---|---|
| Dilution Range | WB 1:1,000-2,000 IHC 1:50 |
| Reactivity | Human, Mouse, Rat |
Key Properties
−| Clonality | Monoclonal |
|---|---|
| Isotype | IgG1 |
| Immunogen | Synthetic Peptide |
| Molecular Weight | 17,25kDa |
| Conjugation | Unconjugated |
Storage & Handling
−| Storage | Maintain refrigerated at 2-8°C for up to 2 weeks. For long term storage store at -20°C in small aliquots to prevent freeze-thaw cycles. |
|---|---|
| Buffer/Preservatives | PBS with 0.02% sodium azide and 50% glycerol pH 7.4. Store at -20°C. Avoid repeated freeze-thaw cycles. |
| Concentration | 1mg/mL |
| Expiration Date | 12 months from date of receipt. |
| Disclaimer | For research use only |
Alternative Names
−Similar Products
−TNF alpha(1F6) Mouse mAb, PerCP-Cy7 conjugated [orb2855839]
FC, ICC
Human
Mouse
Monoclonal
PerCP/Cy7
100 μlTNF alpha(1F6) Mouse mAb, Pacific Blue conjugated [orb2855840]
FC, ICC
Human
Mouse
Monoclonal
Pacific Blue
100 μl

Quality Guarantee
Explore bioreagents carefree to elevate your research. All our products are rigorously tested for performance. If a product does not perform as described on its datasheet, our scientific support team will provide expert troubleshooting, a prompt replacement, or a refund. For full details, please see our Terms & Conditions and Buying Guide. Contact us at support@biorbyt.com.

Western blot analysis of Recombinant Human TNF a Protein with TNF α Mouse mAb orb763525 diluted at 1:2, 000.

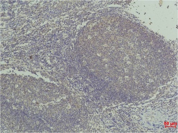
Immunohistochemical analysis of paraffin-embedded Human Tonsil Tissue using TNF a (orb763525) Mouse mAb diluted at 1:50.
Documents Download
Request a Document
Protocol Information
TNF α Mouse mAb Antibody (orb763525)
Participating in our Biorbyt product reviews program enables you to support fellow scientists by sharing your firsthand experience with our products.
Login to Submit a Review