You have no items in your shopping cart.
H3K27me3 Antibody
Description
Research Area
Images & Validation
−| Tested Applications | ChIP, IF, IHC, IP, WB |
|---|---|
| Reactivity | Human, Mouse, Other, Rat |
| Application Notes |
Key Properties
−| Antibody Type | Primary Antibody |
|---|---|
| Host | Rabbit |
| Clonality | Polyclonal |
| Isotype | IgG |
| Immunogen | A synthetic methylated peptide corresponding to residues surrounding K27 of human histone H3 |
| Target | H3K27me3 |
| Molecular Weight | Observed: 17kDa |
| Purification | Affinity purification |
| Conjugation | Unconjugated |
Storage & Handling
−| Storage | Maintain refrigerated at 2-8°C for up to 2 weeks. For long term storage store at -20°C in small aliquots to prevent freeze-thaw cycles. |
|---|---|
| Form/Appearance | Liquid |
| Buffer/Preservatives | PBS with 0.02% sodium azide, 50% glycerol, pH 7.3. |
| Concentration | batch dependent |
| Expiration Date | 12 months from date of receipt. |
| Disclaimer | For research use only |
Alternative Names
−Similar Products
−Histone H3 (Tri Methyl K27) Rabbit Polyclonal Antibody [orb6159]
FC
Bovine, Canine, Porcine, Rabbit, Rat, Sheep
Human, Mouse
Rabbit
Polyclonal
Unconjugated
50 μl, 100 μl, 200 μlAnti-H3K27me3 [BT164] [orb758979]
ELISA, ICC, IF, IHC, IP, WB
Human
Mouse
Monoclonal
Unconjugated
0.2 mgAnti-H3K27me3 [BT164] [orb758980]
ELISA, ICC, IF, IHC, IP, WB
Human
Mouse
Monoclonal
Unconjugated
0.2 mgH3K27me3 Antibody [orb1259103]
ChIP, IF, IHC, IP, WB
Human, Mouse, Rat
Mouse
Monoclonal
Unconjugated
100 μlHistone H3 K79me3 Antibody [orb420422]
ChIP, DOT, IF, IHC, Multiplex Assay, WB
C. elegans, Human
Rabbit
Polyclonal
Unconjugated
50 μg

Quality Guarantee
Explore bioreagents carefree to elevate your research. All our products are rigorously tested for performance. If a product does not perform as described on its datasheet, our scientific support team will provide expert troubleshooting, a prompt replacement, or a refund. For full details, please see our Terms & Conditions and Buying Guide. Contact us at support@biorbyt.com.

Western blot analysis of extracts of various cell lines, using TriMethyl-Histone H3-K27 antibody (orb1258185) at 1:1000 dilution. Secondary antibody: HRP Goat Anti-Rabbit IgG (H+L) at 1:10000 dilution. Lysates/proteins: 25 ug per lane. Blocking buffer: 3% nonfat dry milk in TBST. Detection: ECL Basic Kit. Exposure time: 10s.

Dot-blot analysis of all sorts of methylation peptides using TriMethyl-Histone H3-K27 antibody (orb1258185).

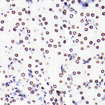
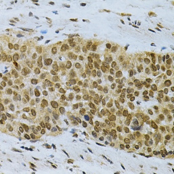
Immunohistochemistry of paraffin-embedded rat ovary using TriMethyl-Histone H3-K27 antibody (orb1258185) at dilution of 1:100 (40x lens).

Immunohistochemistry of paraffin-embedded human breast using TriMethyl-Histone H3-K27 antibody (orb1258185) at dilution of 1:100 (40x lens).

Immunohistochemistry of paraffin-embedded mouse kidney using TriMethyl-Histone H3-K27 antibody (orb1258185) at dilution of 1:100 (40x lens).

Immunofluorescence analysis of 293T cells using TriMethyl-Histone H3-K27 antibody (orb1258185). Blue: DAPI for nuclear staining.

Immunofluorescence analysis of HeLa cells using TriMethyl-Histone H3-K27 antibody (Red) (orb1258185) and BrdU antibody (Green) (A1482). Blue: DAPI for nuclear staining.

Immunofluorescence analysis of HeLa cells using TriMethyl-Histone H3-K27 antibody (orb1258185) at dilution of 1:100. Blue: DAPI for nuclear staining.

Immunofluorescence analysis of C6 cells using TriMethyl-Histone H3-K27 antibody (orb1258185) at dilution of 1:100. Blue: DAPI for nuclear staining.
Quick Database Links
UniProt Details
−Documents Download
Request a Document
Protocol Information
H3K27me3 Antibody (orb1258185)
Participating in our Biorbyt product reviews program enables you to support fellow scientists by sharing your firsthand experience with our products.
Login to Submit a Review


![Anti-H3K27me3 [BT164]](/images/pub/media/catalog/product/NewWebsite/35/orb758979_1.png)
![Anti-H3K27me3 [BT164]](/images/pub/media/catalog/product/NewWebsite/35/orb758979_2.png)
![Anti-H3K27me3 [BT164]](/images/pub/media/catalog/product/NewWebsite/35/orb758979_3.png)
![Anti-H3K27me3 [BT164]](/images/pub/media/catalog/product/NewWebsite/35/orb758980_1.png)
![Anti-H3K27me3 [BT164]](/images/pub/media/catalog/product/NewWebsite/35/orb758980_2.png)
![Anti-H3K27me3 [BT164]](/images/pub/media/catalog/product/NewWebsite/35/orb758980_3.png)








