You have no items in your shopping cart.
TROP2 Antibody / TACSTD2
Description
Research Area
Images & Validation
−| Tested Applications | IF, IHC-P |
|---|---|
| Dilution Range | Immunofluorescence: 1-2ug/ml,Immunohistochemistry (FFPE): 1-2ug/ml for 30 min at RT |
| Reactivity | Human |
| Application Notes |
Key Properties
−| Antibody Type | Primary Antibody |
|---|---|
| Host | Mouse |
| Clonality | Monoclonal |
| Isotype | Mouse IgG1, kappa |
| Clone No. | TACSTD2/2152 |
| Immunogen | A portion of amino acids 31-274 were used as the immunogen for the TROP2 antibody. |
| Purification | Protein G affinity chromatography |
| Conjugation | Unconjugated |
Storage & Handling
−| Storage | Maintain refrigerated at 2-8°C for up to 2 weeks. For long term storage store at -20°C in small aliquots to prevent freeze-thaw cycles. |
|---|---|
| Buffer/Preservatives | 0.2 mg/ml in 1X PBS with 0.1 mg/ml rAlbumin and 0.05% sodium azide |
| Expiration Date | 12 months from date of receipt. |
| Disclaimer | For research use only |
Similar Products
−
Quality Guarantee
Explore bioreagents carefree to elevate your research. All our products are rigorously tested for performance. If a product does not perform as described on its datasheet, our scientific support team will provide expert troubleshooting, a prompt replacement, or a refund. For full details, please see our Terms & Conditions and Buying Guide. Contact us at support@biorbyt.com.

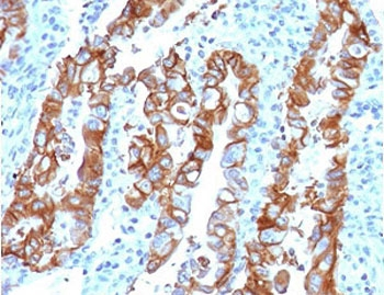
IHC testing of FFPE human pancreatic carcinoma with TROP2 antibody (clone TACSTD2/2152). Required HIER: boil tissue sections in pH9 10mM Tris with 1mM EDTA for 10-20 min followed by cooling at RT for 20 min.

IHC testing of FFPE human pancreatic carcinoma with TROP2 antibody (clone TACSTD2/2152). Required HIER: boil tissue sections in pH9 10mM Tris with 1mM EDTA for 10-20 min followed by cooling at RT for 20 min.

IHC testing of FFPE human colon carcinoma with TROP2 antibody (clone TACSTD2/2152). Required HIER: boil tissue sections in pH6, 10mM citrate buffer, for 10-20 min followed by cooling at RT for 20 min.

Immunofluorescent staining of human MCF7 cells with TROP2 antibody (green, clone TACSTD2/2152) and Reddot nuclear stain (red).

Analysis of HuProt (TM) microarray containing more than 19, 000 full-length human proteins using TROP2 antibody (clone TACSTD2/2152). These results demonstrate the foremost specificity of the TACSTD2/2152 mAb. Z- and S- score: The Z-score represents the strength of a signal that an antibody (in combination with a fluorescently-tagged anti-IgG secondary Ab) produces when binding to a particular protein on the HuProt (TM) array. Z-scores are described in units of standard deviations (SD's) above the mean value of all signals generated on that array. If the targets on the HuProt (TM) are arranged in descending order of the Z-score, the S-score is the difference (also in units of SD's) between the Z-scores. The S-score therefore represents the relative target specificity of an Ab to its intended target.

SDS-PAGE analysis of purified, BSA-free TROP2 antibody (clone TACSTD2/2152) as confirmation of integrity and purity.
Quick Database Links
UniProt Details
−Documents Download
Request a Document
Protocol Information
TROP2 Antibody / TACSTD2 (orb606595)
Participating in our Biorbyt product reviews program enables you to support fellow scientists by sharing your firsthand experience with our products.
Login to Submit a Review








