You have no items in your shopping cart.
TSPAN7 Antibody
Description
Images & Validation
−| Tested Applications | IHC, WB |
|---|---|
| Dilution Range | WB 1:500, IHC 1:500 |
| Reactivity | Human, Mouse, Rat |
Key Properties
−| Host | Mouse |
|---|---|
| Clonality | Monoclonal |
| Isotype | IgG1 |
| Immunogen | Full length human recombinant protein of human TSPAN7 (NP_004606) produced in HEK293T cell. |
| Target | TSPAN7 |
| Purification | Purified from mouse ascites fluids or tissue culture supernatant by affinity chromatography (protein A/G) |
| Conjugation | Unconjugated |
Storage & Handling
−| Storage | Maintain refrigerated at 2-8°C for up to 2 weeks. For long term storage store at -20°C in small aliquots to prevent freeze-thaw cycles. |
|---|---|
| Buffer/Preservatives | PBS (PH 7.3) containing 1% rAlbumin, 50% glycerol and 0.02% sodium azide. |
| Expiration Date | 12 months from date of receipt. |
| Disclaimer | For research use only |
Alternative Names
−Similar Products
−TSPAN7 Rabbit Polyclonal Antibody [orb632222]
ELISA, IHC, IP, WB
Human, Mouse
Rabbit
Polyclonal
Unconjugated
50 μg, 100 μg

Quality Guarantee
Explore bioreagents carefree to elevate your research. All our products are rigorously tested for performance. If a product does not perform as described on its datasheet, our scientific support team will provide expert troubleshooting, a prompt replacement, or a refund. For full details, please see our Terms & Conditions and Buying Guide. Contact us at support@biorbyt.com.

Immunohistochemical staining of Carcinoma of Human thyroid tissue using TM4SF2 (TSPAN7) antibody.

Immunohistochemical staining of Human liver tissue using TM4SF2 (TSPAN7) antibody.

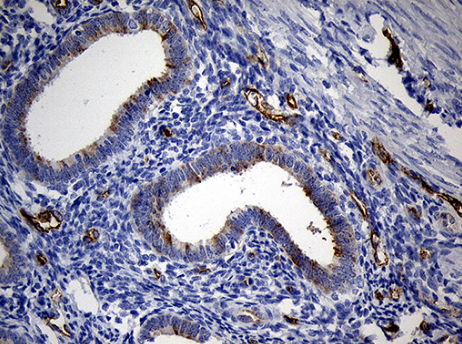
Immunohistochemical staining of Human endometrium tissue using TM4SF2 (TSPAN7) antibody.

Immunohistochemical staining of Human lymphoma tissue using TM4SF2 (TSPAN7) antibody.

Immunohistochemical staining of Human tonsil using TM4SF2 (TSPAN7) antibody.

Immunohistochemical staining of Human spleen tissue using TM4SF2 (TSPAN7) antibody.

Western blot analysis of HEK293T cells using TM4SF2 (TSPAN7) antibody.

Western blot analysis of CCRF-CEM cell line using TM4SF2 (TSPAN7) antibody.
Quick Database Links
Documents Download
Request a Document
Protocol Information
TSPAN7 Antibody (orb1313392)
Participating in our Biorbyt product reviews program enables you to support fellow scientists by sharing your firsthand experience with our products.
Login to Submit a Review








