You have no items in your shopping cart.
TUBA8 Antibody
Description
Images & Validation
−| Tested Applications | FC, ICC, IHC, WB |
|---|---|
| Dilution Range | WB: 1/500 - 1/2000; IHC: 1/200 - 1/1000; IF/ICC: 1/200 - 1/1000; FCM: 1/200 - 1/400; ELISA: 1/10000 |
| Reactivity | Human, Rat |
Key Properties
−| Antibody Type | Primary Antibody |
|---|---|
| Host | Mouse |
| Clonality | Monoclonal |
| Isotype | Mouse IgG2b |
| Clone No. | 2D6D7 |
| Immunogen | Purified recombinant fragment of human TUBA8 expressed in E. Coli. |
| Target | TUBA8 |
| Molecular Weight | 50kDa |
| Conjugation | Unconjugated |
Storage & Handling
−| Storage | Maintain refrigerated at 2-8°C for up to 2 weeks. For long term storage store at -20°C in small aliquots to prevent freeze-thaw cycles. |
|---|---|
| Buffer/Preservatives | Ascitic fluid containing 0.03% sodium azide. |
| Concentration | Approximately 1mg/ml (varies from batch to batch). Please inquire for precise concentration. |
| Expiration Date | 12 months from date of receipt. |
| Disclaimer | For research use only |
Alternative Names
−Similar Products
−TUBA8 Antibody [orb1337866]
IF, IHC, IP, WB
Canine, Human, Monkey, Mouse, Rat
Mouse
Monoclonal
Unconjugated
100 μg

Quality Guarantee
Explore bioreagents carefree to elevate your research. All our products are rigorously tested for performance. If a product does not perform as described on its datasheet, our scientific support team will provide expert troubleshooting, a prompt replacement, or a refund. For full details, please see our Terms & Conditions and Buying Guide. Contact us at support@biorbyt.com.

Line graph illustrates about the Ag-Ab reactions using different concentrations of antigen and serial dilutions of TUBA8 antibody

Western blot analysis of human TUBA8 (AA: 294-449) recombinant protein using TUBA8 antibody

Immunohistochemical analysis of formalin fixed and paraffin-embedded medulla oblongata tissues using TUBA8 antibody

Flow cytometric analysis of NIH/3T3 cells using TUBA8 antibody

Confocal immunofluorescence analysis of Hela cells using TUBA8 antibody

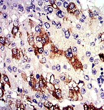
IHC-P of liver cancer tissues using TUBA8 antibody

Western blot analysis of rat heart tissue lysate using TUBA8 antibody
Documents Download
Request a Document
Protocol Information
TUBA8 Antibody (orb97406)
Participating in our Biorbyt product reviews program enables you to support fellow scientists by sharing your firsthand experience with our products.
Login to Submit a Review



