You have no items in your shopping cart.
TXN Antibody
Description
Research Area
Images & Validation
−| Tested Applications | ELISA, IF, IHC, WB |
|---|---|
| Dilution Range | WB:1:500-1:5000, IHC-P:1:200-1:500, IF:1:50-1:200 |
| Reactivity | Human |
Key Properties
−| Host | Rabbit |
|---|---|
| Clonality | Polyclonal |
| Isotype | IgG |
| Immunogen | Recombinant Human Thioredoxin protein (2-105AA) |
| Target | TXN |
| Purification | >95%, Protein G purified |
| Conjugation | Unconjugated |
Storage & Handling
−| Storage | Maintain refrigerated at 2-8°C for up to 2 weeks. For long term storage store at -20°C in small aliquots to prevent freeze-thaw cycles. |
|---|---|
| Form/Appearance | Liquid |
| Buffer/Preservatives | Preservative: 0.03% Proclin 300. Constituents: 50% Glycerol |
| Expiration Date | 12 months from date of receipt. |
| Disclaimer | For research use only |
Alternative Names
−Similar Products
−Thioredoxin Rabbit Polyclonal Antibody [orb11522]
ELISA, FC, ICC, IF, IHC-Fr, IHC-P
All
Human, Mouse, Rat
Rabbit
Polyclonal
Unconjugated
50 μl, 100 μl, 200 μlTXNL2 Antibody (N-term) [orb1937730]
FC, WB
Bovine
Human, Mouse
Rabbit
Polyclonal
Unconjugated
100 μl, 50 μlThioredoxin/TRX/Txn Rabbit Polyclonal Antibody [orb443230]
ELISA, ICC, IF, IHC, WB
Mouse, Rat
Rabbit
Polyclonal
Unconjugated
100 μg

Quality Guarantee
Explore bioreagents carefree to elevate your research. All our products are rigorously tested for performance. If a product does not perform as described on its datasheet, our scientific support team will provide expert troubleshooting, a prompt replacement, or a refund. For full details, please see our Terms & Conditions and Buying Guide. Contact us at support@biorbyt.com.

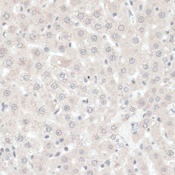
Immunohistochemical staining of human kidney tissue using TRX antibody

Immunofluorescence analysis of Hela cells using TRX antibody

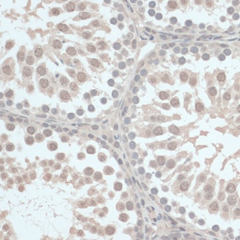
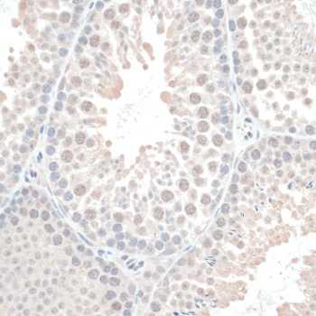
Immunohistochemical staining of human testis tissue using TRX antibody

Immunohistochemical staining of human kidney tissue using TRX antibody

Western blot analysis of Hela whole cell lysate(lane 1), Jurkat whole cell lysate(lane 2), A549 whole cell lysate(lane 3) using TRX antibody
Quick Database Links
UniProt Details
−Documents Download
Request a Document
Protocol Information
TXN Antibody (orb242329)
Participating in our Biorbyt product reviews program enables you to support fellow scientists by sharing your firsthand experience with our products.
Login to Submit a Review



























