You have no items in your shopping cart.
UBE2D1 Antibody
Description
Images & Validation
−| Tested Applications | ELISA, IHC, WB |
|---|---|
| Dilution range | WB:1:200-1000, IHC-P:1:20-1:200 |
| Reactivity | Human, Mouse |
Key Properties
−| Host | Rabbit |
|---|---|
| Clonality | Polyclonal |
| Isotype | IgG |
| Immunogen | Recombinant Human Ubiquitin-conjugating enzyme E2 D1 protein (1-147AA) |
| Target | UBE2D1 |
| Purification | >95%, Protein G purified |
| Conjugation | Unconjugated |
Storage & Handling
−| Storage | Maintain refrigerated at 2-8°C for up to 2 weeks. For long term storage store at -20°C in small aliquots to prevent freeze-thaw cycles. |
|---|---|
| Form/Appearance | Liquid |
| Buffer/Preservatives | Preservative: 0.03% Proclin 300. Constituents: 50% Glycerol |
| Disclaimer | For research use only |
Alternative Names
−Similar Products
−UBE2D1/2/3/4 Antibody [orb692216]
ELISA, FC, ICC, IF, IHC, WB
Human, Mouse, Rat
Rabbit
Polyclonal
Unconjugated
100 μgUBE2D1 Antibody (C-term) [orb1931728]
IHC-P, WB
Bovine
Human, Mouse, Rat
Rabbit
Polyclonal
Unconjugated
100 μl, 50 μlUBE2D1 Rabbit Polyclonal Antibody [orb578678]
WB
Bovine, Canine, Equine, Goat, Guinea pig, Mouse, Porcine, Rabbit, Zebrafish
Human, Rat
Rabbit
Polyclonal
Unconjugated
100 μl

Quality Guarantee
Explore bioreagents carefree to elevate your research. All our products are rigorously tested for performance. If a product does not perform as described on its datasheet, our scientific support team will provide expert troubleshooting, a prompt replacement, or a refund. For full details, please see our Terms & Conditions and Buying Guide. Contact us at support@biorbyt.com.

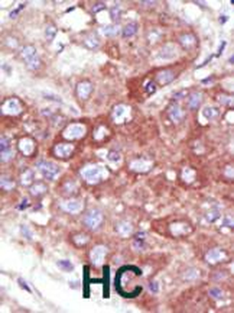
Immunohistochemical staining of human breast cancer using UBE2D1 antibody

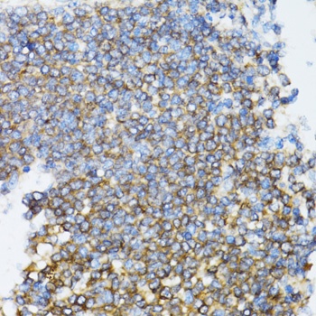
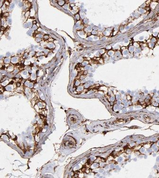
Immunohistochemical staining of human proste cancer using UBE2D1 antibody

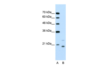
Western blot analysis of Hela whole cell lysate(lane 1), NIH/3T3 whole cell lysate(lane 2) using UBE2D1 antibody
Quick Database Links
UniProt Details
−Documents Download
Request a Document
Protocol Information
UBE2D1 Antibody (orb350796)
Participating in our Biorbyt product reviews program enables you to support fellow scientists by sharing your firsthand experience with our products.
Login to Submit a Review



















