You have no items in your shopping cart.
UCH-L1 rabbit pAb Antibody
Description
Images & Validation
−| Tested Applications | ELISA, IF, IHC, WB |
|---|---|
| Dilution Range | Western Blot: 1/500 - 1/2000. IHC-p: 1:100-300 ELISA: 1/20000. Not yet tested in other applications. |
| Reactivity | Human, Mouse, Rat |
Key Properties
−| Clonality | Polyclonal |
|---|---|
| Isotype | IgG |
| Immunogen | The antiserum was produced against synthesized peptide derived from the Internal region of human UCHL1. AA range:31-80 |
| Molecular Weight | 25 |
| Purification | The antibody was affinity-purified from rabbit antiserum by affinity-chromatography using epitope-specific immunogen. |
| Conjugation | Unconjugated |
Storage & Handling
−| Storage | Maintain refrigerated at 2-8°C for up to 2 weeks. For long term storage store at -20°C in small aliquots to prevent freeze-thaw cycles. |
|---|---|
| Buffer/Preservatives | PBS with 0.02% sodium azide and 50% glycerol pH 7.4. |
| Concentration | 1 mg/ml |
| Expiration Date | 12 months from date of receipt. |
| Disclaimer | For research use only |
Alternative Names
−Similar Products
−UCHL1 Antibody (N-term) [orb1931714]
FC, IF, IHC-P, WB
Porcine
Human, Mouse
Rabbit
Polyclonal
Unconjugated
400 μlPGP9.5 (UCHL-1)Rabbit pAb Antibody [orb763872]
IHC, WB
Human, Mouse, Rat
Polyclonal
Unconjugated
100 μl, 50 μlUCHL1+3 Rabbit pAb, PE conjugated [orb499563]
ICC
Canine, Equine, Porcine, Rabbit, Sheep
Human, Mouse, Rat
Rabbit
Polyclonal
PE
PGP9.5 Rabbit pAb, RBITC conjugated [orb2423647]
ICC
Human, Mouse, Rat
Rabbit
Polyclonal
RBITC
PGP9.5 Rabbit pAb, PerCP-Cy5.5 conjugated [orb2423648]
ICC
Human, Mouse, Rat
Rabbit
Polyclonal
PerCP/Cy5.5

Quality Guarantee
Explore bioreagents carefree to elevate your research. All our products are rigorously tested for performance. If a product does not perform as described on its datasheet, our scientific support team will provide expert troubleshooting, a prompt replacement, or a refund. For full details, please see our Terms & Conditions and Buying Guide. Contact us at support@biorbyt.com.

Western Blot analysis of U87, H460, U251, mouse brain cells using UCH-L1 Polyclonal Antibody. Secondary antibody was diluted at 1:20000.

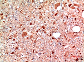
Immunohistochemical analysis of paraffin-embedded rat-brain, antibody was diluted at 1:100.

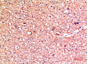
Immunohistochemical analysis of paraffin-embedded Human Cerebral cortex. 1, Antibody was diluted at 1:200 (4°C overnight). 2, High-pressure and temperature EDTA, pH8.0 was used for antigen retrieval. 3, Secondary antibody was diluted at 1:200 (room temperature, 30min).

Immunohistochemical analysis of paraffin-embedded Human Cerebral cortex. 1, Antibody was diluted at 1:200 (4°C overnight). 2, High-pressure and temperature EDTA, pH8.0 was used for antigen retrieval. 3, Secondary antibody was diluted at 1:200 (room temperature, 30min).
Documents Download
Request a Document
Protocol Information
UCH-L1 rabbit pAb Antibody (orb766746)
Participating in our Biorbyt product reviews program enables you to support fellow scientists by sharing your firsthand experience with our products.
Login to Submit a Review







