You have no items in your shopping cart.
UGT1A1 antibody
Description
Images & Validation
−| Tested Applications | ICC, IF, IHC-P, WB |
|---|---|
| Dilution Range | IF/ICC: 1:100-600, IHC-P: 1:100-600, WB: 1:200-1000 |
| Reactivity | Guinea pig, Human, Mouse, Porcine, Rat |
Key Properties
−| Host | Rabbit |
|---|---|
| Clonality | Polyclonal |
| Isotype | IgG |
| Immunogen | KLH conjugated synthetic peptide derived from human UGT1A1. Please contact us for the exact immunogen sequence. The peptide is available as orb393931. |
| Target | UGT1A1 |
| Molecular Weight | 59 kDa |
| Purity | Polyclonal antibodies are purified by peptide affinity chromatography |
| Conjugation | Unconjugated |
Storage & Handling
−| Storage | Maintain refrigerated at 2-8°C for up to 2 weeks. For long term storage store at -20°C in small aliquots to prevent freeze-thaw cycles. |
|---|---|
| Form/Appearance | 10 mM PBS, 0.02% sodium azide |
| Concentration | - 100 μg (in 200 μl): 0.5 mg/ml- 200 μg (in 400 μl): 0.5 mg/ml |
| Expiration Date | 12 months from date of receipt. |
| Disclaimer | For research use only |
Alternative Names
−Similar Products
−Human UDP Glucuronosyltransferase 1 Family, Polypeptide A1 (UGT1A1) ELISA Kit [orb778143]
Human
1.57-100 ng/mL
0.58 ng/mL
96 T, 48 TRat UDP Glucuronosyltransferase 1 Family, Polypeptide A1 (UGT1A1) ELISA Kit [orb780590]
Rat
1.57-100 ng/mL
0.62 ng/mL
48 T, 96 TUGT1A1 Rabbit Polyclonal Antibody [orb402480]
ELISA, FC, ICC, IHC, WB
Human, Mouse, Rat
Rabbit
Polyclonal
Unconjugated
100 μg

Quality Guarantee
Explore bioreagents carefree to elevate your research. All our products are rigorously tested for performance. If a product does not perform as described on its datasheet, our scientific support team will provide expert troubleshooting, a prompt replacement, or a refund. For full details, please see our Terms & Conditions and Buying Guide. Contact us at support@biorbyt.com.

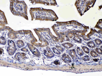
Immunohistochemical staining of paraffin embedded pig small intestines tissue using anti-UGT1A1 (2.5 ug/ml)

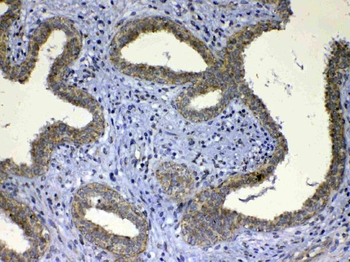
IHC-P staining of human cholecystitis tissue using UGT1A1 antibody (2.5 ug/ml)

Immunofluorescence image of guinea pig bladder tissue using UGT1A1 antibody (2.5 ug/ml)

IHC-P image of pig small intestines tissue using anti-UGT1A1 (2.5 ug/ml)

WB analysis of rat liver (lane 1) , human u251 (lane 2) , rat small intestine (lane 3) , rat kideny (lane 4) , mouse lung (lane 5) using anti-UGT1A1 (1 ug/ml)

IHC-P image of guinea pig bladder tissue using UGT1A1 antibody (2.5 ug/ml)

WB analysis of rat liver (lane 1) , human u251 (lane 2) , rat small intestine (lane 3) , rat kideny (lane 4) , mouse lung (lane 5) using anti-UGT1A1 (1 ug/ml)

IHC-P image of guinea pig bladder tissue using UGT1A1 antibody (2.5 ug/ml)

Immunofluorescence image of guinea pig bladder tissue using UGT1A1 antibody (2.5 ug/ml)
Quick Database Links
Documents Download
Request a Document
Protocol Information
UGT1A1 antibody (orb247293)
Participating in our Biorbyt product reviews program enables you to support fellow scientists by sharing your firsthand experience with our products.
Login to Submit a Review











