You have no items in your shopping cart.
UQCRC2 Antibody
Description
Research Area
Images & Validation
−| Tested Applications | ELISA, IHC, WB |
|---|---|
| Dilution Range | ELISA:1:2000-1:10000, WB:1:1000-1:5000, IHC-P:1:25-1:100 |
| Reactivity | Human, Mouse, Rat |
Key Properties
−| Host | Rabbit |
|---|---|
| Clonality | Polyclonal |
| Isotype | IgG |
| Immunogen | Fusion protein of Human UQCRC2 |
| Target | UQCRC2 |
| Purification | Antigen Affinity Purified |
| Conjugation | Unconjugated |
Storage & Handling
−| Storage | Maintain refrigerated at 2-8°C for up to 2 weeks. For long term storage store at -20°C in small aliquots to prevent freeze-thaw cycles. |
|---|---|
| Form/Appearance | Liquid |
| Buffer/Preservatives | -20°C, pH7.4 PBS, 0.05% NaN3, 40% Glycerol |
| Expiration Date | 12 months from date of receipt. |
| Disclaimer | For research use only |
Alternative Names
−Similar Products
−Mouse Ubiquinol Cytochrome C Reductase Core Protein II (UQCRC2) ELISA Kit [orb779897]
Mouse
0.16-10 ng/mL
0.059 ng/mL
96 T, 48 TUQCRC2 Antibody [orb521892]
ELISA, IHC, WB
Human, Mouse, Rat
Rabbit
Polyclonal
Unconjugated
50 μl, 100 μlUQCRC2 Rabbit Polyclonal Antibody [orb632402]
ELISA, IHC, IP, WB
Human, Mouse, Rat
Rabbit
Polyclonal
Unconjugated
50 μg, 100 μg

Quality Guarantee
Explore bioreagents carefree to elevate your research. All our products are rigorously tested for performance. If a product does not perform as described on its datasheet, our scientific support team will provide expert troubleshooting, a prompt replacement, or a refund. For full details, please see our Terms & Conditions and Buying Guide. Contact us at support@biorbyt.com.

Immunohistochemistry of paraffin-embedded Human brain tissue using UQCRC2 antibody

Western blot aanalysis of Lane 1-4: Mouse muscle tissue and HT-29 cell, A431 and Jurkat cellusing UQCRC2 antibody

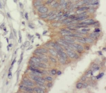
Immunohistochemistry of paraffin-embedded Human prostate cancer tissue using UQCRC2 antibody
Quick Database Links
UniProt Details
−Documents Download
Request a Document
Protocol Information
UQCRC2 Antibody (orb521891)
Participating in our Biorbyt product reviews program enables you to support fellow scientists by sharing your firsthand experience with our products.
Login to Submit a Review











