You have no items in your shopping cart.
USP14 Antibody
Description
Research Area
Images & Validation
−| Tested Applications | ELISA, IF, IHC, WB |
|---|---|
| Dilution range | WB:1:500-1:2000, IHC-P:1:20-1:200, IF:1:50-1:200 |
| Reactivity | Human, Mouse |
Key Properties
−| Host | Rabbit |
|---|---|
| Clonality | Polyclonal |
| Isotype | IgG |
| Immunogen | Recombinant Human Ubiquitin carboxyl-terminal hydrolase 14 protein (1-494AA) |
| Target | USP14 |
| Purification | >95%, Protein G purified |
| Conjugation | Unconjugated |
Storage & Handling
−| Storage | Maintain refrigerated at 2-8°C for up to 2 weeks. For long term storage store at -20°C in small aliquots to prevent freeze-thaw cycles. |
|---|---|
| Form/Appearance | Liquid |
| Buffer/Preservatives | Preservative: 0.03% Proclin 300. Constituents: 50% Glycerol |
| Disclaimer | For research use only |
Alternative Names
−Similar Products
−USP14 Antibody (N-term) [orb1931689]
IHC-P, WB
Bovine, Mouse
Human
Rabbit
Polyclonal
Unconjugated
100 μl, 50 μlHuman Ubiquitin Specific Peptidase 14 (USP14) ELISA Kit [orb778412]
Human
0.32-20 ng/mL
0.11 ng/mL
48 T, 96 TRabbit USP14 Antibody [orb1529389]
IHC, IP, WB
Bovine
Human, Mouse
Rabbit
Polyclonal
Unconjugated
100 μl, 10 μlUSP14 Antibody (C-term) [orb1932028]
WB
Bovine
Human, Mouse, Rat
Rabbit
Polyclonal
Unconjugated
100 μl, 50 μl

Quality Guarantee
Explore bioreagents carefree to elevate your research. All our products are rigorously tested for performance. If a product does not perform as described on its datasheet, our scientific support team will provide expert troubleshooting, a prompt replacement, or a refund. For full details, please see our Terms & Conditions and Buying Guide. Contact us at support@biorbyt.com.

Western blot analysis of Hela(Lane 1), 293T(Lane 2), NIH3T3(Lane 3) whole cell lysate using Ubiquitin carboxyl-terminal hydrolase 14 antibody

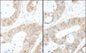
Immunohistochemical staining of human kidney tissue using Ubiquitin carboxyl-terminal hydrolase 14 antibody

Immunofluorescence analysis of HepG2 cells using Ubiquitin carboxyl-terminal hydrolase 14 antibody

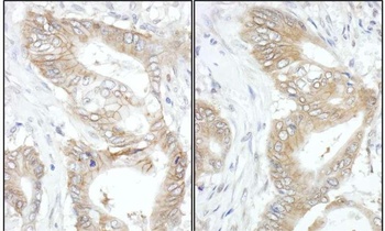
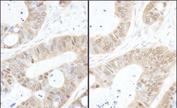
Immunohistochemical staining of human proste cancer using Ubiquitin carboxyl-terminal hydrolase 14 antibody
Quick Database Links
UniProt Details
−Documents Download
Request a Document
Protocol Information
USP14 Antibody (orb239328)
Participating in our Biorbyt product reviews program enables you to support fellow scientists by sharing your firsthand experience with our products.
Login to Submit a Review












