You have no items in your shopping cart.
V5-tag Antibody
Description
Images & Validation
−| Tested Applications | ELISA, IP, WB |
|---|---|
| Dilution range | WB: 1:2000-1:20000; IP: 1:5000-1:50000 |
Key Properties
−| Antibody Type | Primary Antibody |
|---|---|
| Host | Rabbit |
| Clonality | Polyclonal |
| Isotype | IgG |
| Immunogen | Peptide |
| Target | V5-tag |
| Purity | ≥95% as determined by SDS-PAGE |
| Purification | Immunogen affinity purified |
| Conjugation | Unconjugated |
Storage & Handling
−| Storage | Maintain refrigerated at 2-8°C for up to 2 weeks. For long term storage store at -20°C in small aliquots to prevent freeze-thaw cycles. |
|---|---|
| Form/Appearance | Liquid |
| Disclaimer | For research use only |
Alternative Names
−Similar Products
−Rabbit anti-V5 Tag Recombinant Monoclonal Antibody [orb1530832]
ICC, IP, WB
Rabbit
Recombinant
Unconjugated
100 μl

Quality Guarantee
Explore bioreagents carefree to elevate your research. All our products are rigorously tested for performance. If a product does not perform as described on its datasheet, our scientific support team will provide expert troubleshooting, a prompt replacement, or a refund. For full details, please see our Terms & Conditions and Buying Guide. Contact us at support@biorbyt.com.

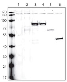
Recombinant protein were subjected to SDS PAGE followed by western blot with orb632470 (V5-tag antibody) at dilution of 1:10000.

IP Result of anti-V5-tag (IP: orb632470, 3 ug;Detection: orb632470 1:10000) with Recombinant protein protein lysate 3000 ug.
Quick Database Links
Documents Download
Request a Document
Protocol Information
V5-tag Antibody (orb632470)
Participating in our Biorbyt product reviews program enables you to support fellow scientists by sharing your firsthand experience with our products.
Login to Submit a Review


















