You have no items in your shopping cart.
VASP (phospho Ser157) rabbit pAb Antibody
Description
Images & Validation
−| Tested Applications | ELISA, IF, IHC, WB |
|---|---|
| Dilution Range | Western Blot: 1/500 - 1/2000. Immunohistochemistry: 1/100 - 1/300. ELISA: 1/5000. Not yet tested in other applications. |
| Reactivity | Human, Monkey, Mouse, Rat |
Key Properties
−| Clonality | Polyclonal |
|---|---|
| Isotype | IgG |
| Immunogen | The antiserum was produced against synthesized peptide derived from human VASP around the phosphorylation site of Ser157. AA range:124-173 |
| Molecular Weight | 46+50 |
| Purification | The antibody was affinity-purified from rabbit antiserum by affinity-chromatography using epitope-specific immunogen. |
| Conjugation | Unconjugated |
Storage & Handling
−| Storage | Maintain refrigerated at 2-8°C for up to 2 weeks. For long term storage store at -20°C in small aliquots to prevent freeze-thaw cycles. |
|---|---|
| Buffer/Preservatives | PBS with 0.02% sodium azide and 50% glycerol pH 7.4. |
| Concentration | 1 mg/ml |
| Expiration Date | 12 months from date of receipt. |
| Disclaimer | For research use only |
Alternative Names
−Similar Products
−VASP (phospho Ser157) rabbit pAb Antibody [orb770356]
ELISA, IF, IHC, WB
Human, Mouse, Rat
Polyclonal
Unconjugated
100 μl, 50 μlphospho-VASP (Ser157) Rabbit pAb, PerCP-Cy7 conjugated [orb2885064]
IF
Canine
Human, Mouse, Rat
Rabbit
Polyclonal
PerCP/Cy7
100 μlphospho-VASP (Ser157) Rabbit pAb, Pacific Blue conjugated [orb2885065]
IF
Canine
Human, Mouse, Rat
Rabbit
Polyclonal
Pacific Blue
100 μlphospho-VASP (Ser157) Rabbit pAb, BF700 conjugated [orb2885066]
IF
Canine
Human, Mouse, Rat
Rabbit
Polyclonal
BF700
100 μlphospho-VASP (Ser157) Rabbit pAb, IRDye 800CW conjugated [orb2885067]
WB
Canine
Human, Mouse, Rat
Rabbit
Polyclonal
IRDye800
100 μl

Quality Guarantee
Explore bioreagents carefree to elevate your research. All our products are rigorously tested for performance. If a product does not perform as described on its datasheet, our scientific support team will provide expert troubleshooting, a prompt replacement, or a refund. For full details, please see our Terms & Conditions and Buying Guide. Contact us at support@biorbyt.com.

Western Blot analysis of various cells using Phospho-VASP (S157) Polyclonal Antibody.

Enzyme-Linked Immunosorbent Assay (Phospho-ELISA) for Immunogen Phosphopeptide (Phospho-left) and Non-Phosphopeptide (Phospho-right), using VASP (Phospho-Ser157) Antibody.

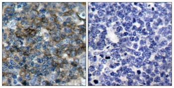
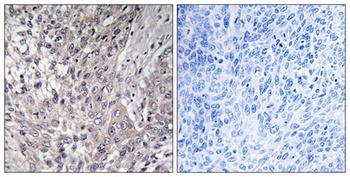
Immunohistochemistry analysis of paraffin-embedded human tonsil, using VASP (Phospho-Ser157) Antibody. The picture on the right is blocked with the phospho peptide.

Western blot analysis of lysates from NIH/3T3 cells treated with forskolin 40 muM 30', using VASP (Phospho-Ser157) Antibody. The lane on the right is blocked with the phospho peptide.
Documents Download
Request a Document
Protocol Information
VASP (phospho Ser157) rabbit pAb Antibody (orb764289)
Participating in our Biorbyt product reviews program enables you to support fellow scientists by sharing your firsthand experience with our products.
Login to Submit a Review


