You have no items in your shopping cart.
VEGF Rabbit pAb
Description
Images & Validation
−| Tested Applications | IHC |
|---|---|
| Dilution range | IHC 1:200-500 |
| Reactivity | Human, Mouse, Rat |
Key Properties
−| Clonality | Polyclonal |
|---|---|
| Isotype | IgG |
| Immunogen | Recombinant Protein |
| Molecular Weight | 23,45kDa |
| Conjugation | Unconjugated |
Storage & Handling
−| Storage | Maintain refrigerated at 2-8°C for up to 2 weeks. For long term storage store at -20°C in small aliquots to prevent freeze-thaw cycles. |
|---|---|
| Buffer/Preservatives | PBS with 0.02% sodium azide and 50% glycerol pH 7.4. |
| Concentration | 1mg/mL |
| Disclaimer | For research use only |
Alternative Names
−Similar Products
−VEGF-D rabbit pAb [orb766569]
ELISA, IHC-P, WB
Human, Monkey, Mouse, Rat
Polyclonal
Unconjugated
100 μl, 50 μlVEGF Receptor 2 Rabbit pAb [orb1563461]
ELISA, ICC, IF, IHC-Fr, IHC-P, WB
Human, Mouse
Polyclonal
Unconjugated
20 μl, 50 μl, 100 μlVEGF-A rabbit pAb [orb770371]
ELISA, IF, IHC-P, WB
Human, Mouse, Porcine, Rabbit, Rat
Polyclonal
Unconjugated
50 μl, 100 μl

Quality Guarantee
Explore bioreagents carefree to elevate your research. All our products are rigorously tested for performance. If a product does not perform as described on its datasheet, our scientific support team will provide expert troubleshooting, a prompt replacement, or a refund. For full details, please see our Terms & Conditions and Buying Guide. Contact us at support@biorbyt.com.

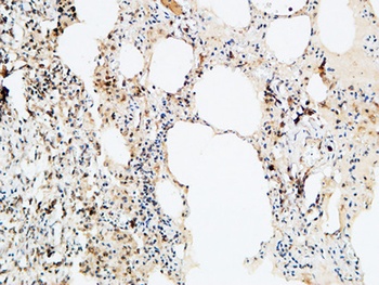
Immunohistochemical analysis of paraffin-embedded Human Liver Carcinoma Tissue using VEGF (orb763832) Rabbit pAb diluted at 1:500.

Immunohistochemical analysis of paraffin-embedded Human Kidney Tissue using VEGF (orb763832) Rabbit pAb diluted at 1:500.

Immunohistochemical analysis of paraffin-embedded Human Stomach Carcinoma Tissue using VEGF (orb763832) Rabbit pAb diluted at 1:500.
Quick Database Links
UniProt Details
−Documents Download
Request a Document
VEGF Rabbit pAb (orb763832)
Participating in our Biorbyt product reviews program enables you to support fellow scientists by sharing your firsthand experience with our products.
Login to Submit a Review
















