You have no items in your shopping cart.
VEGFA peptide
SKU: orb339489
Description
Research Area
Cancer, Developmental Biology, Epigenetics
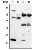
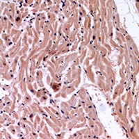
Images & Validation
−
| Tested Applications | Blocking |
|---|---|
| Application Notes |
Key Properties
−| Source | Synthetic |
|---|---|
| Target | VEGFA |
| Reactivity | Human, Mouse, Rat |
| Purity | >85% |
Storage & Handling
−| Storage | Shipped at 4°C. Store at -20°C for one year. |
|---|---|
| Form/Appearance | Lyophilized powder |
| Expiration Date | 12 months from date of receipt. |
| Disclaimer | For research use only |
Alternative Names
−VEGF; Vascular endothelial growth factor A; VEGF-A; Vascular permeability factor; VPF
Similar Products
−VEGFA Antibody [orb339095]
IHC, WB
Human, Mouse, Porcine, Rat
Rabbit
Polyclonal
Unconjugated
30 μl, 100 μl, 200 μl, 50 μl

Quality Guarantee
Explore bioreagents carefree to elevate your research. All our products are rigorously tested for performance. If a product does not perform as described on its datasheet, our scientific support team will provide expert troubleshooting, a prompt replacement, or a refund. For full details, please see our Terms & Conditions and Buying Guide. Contact us at support@biorbyt.com.
Documents Download
Datasheet
Product Information
Request a Document
Protocol Information
VEGFA peptide (orb339489)
Based on 0 reviews
Participating in our Biorbyt product reviews program enables you to support fellow scientists by sharing your firsthand experience with our products.
Login to Submit a Review

