You have no items in your shopping cart.
VTN Rabbit Polyclonal Antibody
Description
Research Area
Images & Validation
−| Tested Applications | WB |
|---|---|
| Reactivity | Human |
| Predicted Reactivity | Human |
Key Properties
−| Host | Rabbit |
|---|---|
| Clonality | Polyclonal |
| Immunogen | The immunogen is a synthetic peptide directed towards the N terminal region of human VTN |
| Target | VTN |
| Protein Sequence | Synthetic peptide located within the following region: EDEYTVYDDGEEKNNATVHEQVGGPSLTSDLQAQSKGNPEQTPVLKPEEE |
| Molecular Weight | 52kDa |
| Purification | Affinity Purified |
| Conjugation | Unconjugated |
Storage & Handling
−| Storage | Maintain refrigerated at 2-8°C for up to 2 weeks. For long term storage store at -20°C in small aliquots to prevent freeze-thaw cycles. |
|---|---|
| Buffer/Preservatives | Liquid. Purified antibody supplied in 1x PBS buffer with 0.09% (w/v) sodium azide and 2% sucrose. |
| Concentration | 0.5 mg/ml |
| Expiration Date | 12 months from date of receipt. |
| Disclaimer | For research use only |
Alternative Names
−Similar Products
−Vitronectin Rabbit Polyclonal Antibody [orb13756]
IF, IHC-Fr, IHC-P
Bovine, Canine, Human, Rat
Mouse
Rabbit
Polyclonal
Unconjugated
50 μl, 100 μl, 200 μlVitronectin rabbit pAb Antibody [orb770387]
ELISA, WB
Human, Mouse, Rat
Polyclonal
Unconjugated
100 μl, 50 μlVitronectin rabbit pAb Antibody [orb771261]
ELISA, WB
Human, Mouse, Rat
Polyclonal
Unconjugated
50 μl, 100 μl

Quality Guarantee
Explore bioreagents carefree to elevate your research. All our products are rigorously tested for performance. If a product does not perform as described on its datasheet, our scientific support team will provide expert troubleshooting, a prompt replacement, or a refund. For full details, please see our Terms & Conditions and Buying Guide. Contact us at support@biorbyt.com.

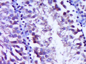
Sample Type: Human Adult Placenta, Antibody dilution: 1.0 ug/ml.

Sample Type: Human Fetal Lung, Antibody dilution: 1.0 ug/ml.

WB Suggested Anti-VTN Antibody Titration: 0.2-1 ug/ml, ELISA Titer: 1:62500, Positive Control: HepG2 cell lysate. VTN is supported by BioGPS gene expression data to be expressed in HepG2.
Documents Download
Request a Document
VTN Rabbit Polyclonal Antibody (orb583866)
Participating in our Biorbyt product reviews program enables you to support fellow scientists by sharing your firsthand experience with our products.
Login to Submit a Review







