You have no items in your shopping cart.
WISP3 Antibody
Description
Research Area
Images & Validation
−| Tested Applications | ELISA, IHC, WB |
|---|---|
| Dilution Range | WB:1:500-5000, IHC-P:1:20-200 |
| Reactivity | Human, Mouse, Rat |
Key Properties
−| Host | Rabbit |
|---|---|
| Clonality | Polyclonal |
| Isotype | IgG |
| Immunogen | Recombinant Human WNT1-inducible-signaling pathway protein 3 protein (201-372AA) |
| Target | WISP3 |
| Purification | >95%, Protein G purified |
| Conjugation | Unconjugated |
Storage & Handling
−| Storage | Maintain refrigerated at 2-8°C for up to 2 weeks. For long term storage store at -20°C in small aliquots to prevent freeze-thaw cycles. |
|---|---|
| Form/Appearance | Liquid |
| Buffer/Preservatives | Preservative: 0.03% Proclin 300. Constituents: 50% Glycerol |
| Expiration Date | 12 months from date of receipt. |
| Disclaimer | For research use only |
Alternative Names
−Similar Products
−WISP3 Rabbit Polyclonal Antibody [orb159209]
IF, IHC-Fr, IHC-P
Canine, Equine, Human, Monkey, Mouse, Rabbit, Sheep
Rat
Rabbit
Polyclonal
Unconjugated
50 μl, 100 μl, 200 μlWISP3 Rabbit Polyclonal Antibody [orb382632]
IHC, WB
Human
Rabbit
Polyclonal
Unconjugated
30 μl, 100 μl, 200 μl, 50 μl

Quality Guarantee
Explore bioreagents carefree to elevate your research. All our products are rigorously tested for performance. If a product does not perform as described on its datasheet, our scientific support team will provide expert troubleshooting, a prompt replacement, or a refund. For full details, please see our Terms & Conditions and Buying Guide. Contact us at support@biorbyt.com.

Western blot analysis of HepG2 whole cell lysate(lane 1), Rat brain(lane 2), Rat heart(lane 3), Mouse heart(lane 4), Mouse brain(lane 5), Mouse kidney(lane 6) tissue using WISP3 antibody

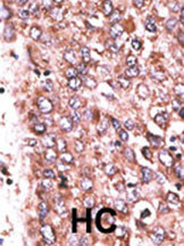
Immunohistochemical staining of human liver cancer using WISP3 antibody

Immunohistochemical staining of human kidney tissue using WISP3 antibody
Quick Database Links
UniProt Details
−Documents Download
Request a Document
Protocol Information
WISP3 Antibody (orb53095)
Participating in our Biorbyt product reviews program enables you to support fellow scientists by sharing your firsthand experience with our products.
Login to Submit a Review






