You have no items in your shopping cart.
WNK1 Recombinant Rabbit Monoclonal Antibody
Description
Research Area
Images & Validation
−| Tested Applications | IF, IHC-Fr, IHC-P, WB |
|---|---|
| Dilution Range | WB=1:500-1000, IHC-P=1:100-500, IHC-F=1:400-800, IF=1:100-500 |
| Reactivity | Human, Mouse, Rat |
| Predicted Reactivity | Human, Mouse, Rat |
Key Properties
−| Antibody Type | Primary Antibody |
|---|---|
| Host | Rabbit |
| Clonality | Recombinant |
| Isotype | IgG |
| Clone No. | 4G10 |
| Immunogen | KLH conjugated synthetic peptide derived from human WNK1 |
| Target | WNK1 |
| Molecular Weight | 251 kDa |
| Purification | Affinity purified by Protein A |
| Conjugation | Unconjugated |
Storage & Handling
−| Storage | Maintain refrigerated at 2-8°C for up to 2 weeks. For long term storage store at -20°C in small aliquots to prevent freeze-thaw cycles. |
|---|---|
| Form/Appearance | Liquid |
| Buffer/Preservatives | 0.01M TBS (pH7.4) with 1% rAlbumin, 0.02% Proclin300 and 50% Glycerol. |
| Concentration | 1mg/ml |
| Expiration Date | 12 months from date of receipt. |
| Disclaimer | For research use only |
Alternative Names
−Similar Products
−Recombinant WNK1 Rabbit mAb Antibody [orb2988793]
WB
Human
Rabbit
Monoclonal
Unconjugated
30 μl, 50 μl, 200 μl, 100 μl

Quality Guarantee
Explore bioreagents carefree to elevate your research. All our products are rigorously tested for performance. If a product does not perform as described on its datasheet, our scientific support team will provide expert troubleshooting, a prompt replacement, or a refund. For full details, please see our Terms & Conditions and Buying Guide. Contact us at support@biorbyt.com.

Immunohistochemical analysis of paraffin-embedded rat kidney tissue using anti-WNK1 antibody. Counter stained with hematoxylin.

Western blot analysis of WNK1 on A549 cell lysates using anti-WNK1 antibody at 1/1000 dilution.

Immunohistochemical analysis of paraffin-embedded human breast cancer tissue using anti-WNK1 antibody. Counter stained with hematoxylin.

Immunohistochemical analysis of paraffin-embedded human skin tissue using anti-WNK1 antibody. Counter stained with hematoxylin.

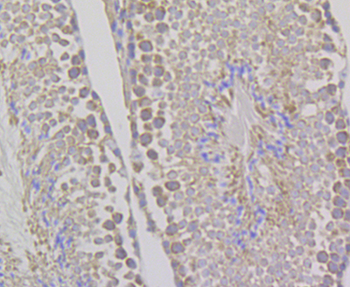
Immunohistochemical analysis of paraffin-embedded mouse testis tissue using anti-WNK1 antibody. Counter stained with hematoxylin.
Quick Database Links
UniProt Details
−Documents Download
Request a Document
Protocol Information
WNK1 Recombinant Rabbit Monoclonal Antibody (orb704331)
Participating in our Biorbyt product reviews program enables you to support fellow scientists by sharing your firsthand experience with our products.
Login to Submit a Review