You have no items in your shopping cart.
XPO1 Antibody
Description
Research Area
Images & Validation
−| Tested Applications | ELISA, IF, IHC, WB |
|---|---|
| Dilution Range | WB:1:500-5000, IHC-P:1:20-200, IF:1:50-200 |
| Reactivity | Human, Mouse |
Key Properties
−| Host | Rabbit |
|---|---|
| Clonality | Polyclonal |
| Isotype | IgG |
| Immunogen | Recombinant Human Exportin-1 protein (625-845AA) |
| Target | XPO1 |
| Purification | >95%, Protein G purified |
| Conjugation | Unconjugated |
Storage & Handling
−| Storage | Maintain refrigerated at 2-8°C for up to 2 weeks. For long term storage store at -20°C in small aliquots to prevent freeze-thaw cycles. |
|---|---|
| Form/Appearance | Liquid |
| Buffer/Preservatives | Preservative: 0.03% Proclin 300. Constituents: 50% Glycerol |
| Expiration Date | 12 months from date of receipt. |
| Disclaimer | For research use only |
Alternative Names
−Similar Products
−CRM1/XPO1 Rabbit Polyclonal Antibody [orb371700]
FC, ICC, IF, IHC, IHC-Fr, IP, WB
Human, Mouse, Rat
Rabbit
Polyclonal
Unconjugated
100 μgXPO1 Rabbit Polyclonal Antibody [orb577602]
IHC, WB
Bovine, Canine, Equine, Mouse, Porcine, Rabbit, Rat, Yeast, Zebrafish
Human
Rabbit
Polyclonal
Unconjugated
100 μlCRM1 XPO1 Mouse Monoclonal Antibody [orb421118]
FC, ICC, IF, IHC, WB
Human, Mouse, Rat
Mouse
Monoclonal
Unconjugated
100 μgExportin 1 Rabbit Polyclonal Antibody [orb544781]
IF, IHC-Fr, IHC-P
Porcine, Rabbit
Human, Mouse, Rat
Rabbit
Polyclonal
Unconjugated
100 μl, 200 μl, 50 μl

Quality Guarantee
Explore bioreagents carefree to elevate your research. All our products are rigorously tested for performance. If a product does not perform as described on its datasheet, our scientific support team will provide expert troubleshooting, a prompt replacement, or a refund. For full details, please see our Terms & Conditions and Buying Guide. Contact us at support@biorbyt.com.

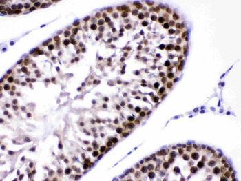
Immunohistochemical staining of human testis tissue using XPO1 antibody

Immunofluorescence analysis of Hela cells using XPO1 antibody

Immunohistochemical staining of human pancreic tissue using XPO1 antibody

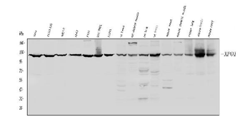
Western blot analysis of K562 whole cell lysate(lane 1), NIH/3T3 whole cell lysate(lane 2) using XPO1 antibody
Quick Database Links
UniProt Details
−Documents Download
Request a Document
Protocol Information
XPO1 Antibody (orb51142)
Participating in our Biorbyt product reviews program enables you to support fellow scientists by sharing your firsthand experience with our products.
Login to Submit a Review























