You have no items in your shopping cart.
XRCC6 Antibody
Description
Research Area
Images & Validation
−| Tested Applications | ELISA, IF, IHC, WB |
|---|---|
| Dilution Range | WB:1:500-1:5000, IHC-P:1:20-1:200, IF:1:50-1:200 |
| Reactivity | Human |
Key Properties
−| Host | Rabbit |
|---|---|
| Clonality | Polyclonal |
| Isotype | IgG |
| Immunogen | Recombinant Human X-ray repair cross-complementing protein 6 ptotein (2-609AA) |
| Target | XRCC6 |
| Purification | >95%, Protein G purified |
| Conjugation | Unconjugated |
Storage & Handling
−| Storage | Maintain refrigerated at 2-8°C for up to 2 weeks. For long term storage store at -20°C in small aliquots to prevent freeze-thaw cycles. |
|---|---|
| Form/Appearance | Liquid |
| Buffer/Preservatives | Preservative: 0.03% Proclin 300. Constituents: 50% Glycerol |
| Expiration Date | 12 months from date of receipt. |
| Disclaimer | For research use only |
Alternative Names
−Similar Products
−Ku70/XRCC6 Rabbit Polyclonal Antibody [orb308815]
FC, ICC, IF, IHC, WB
Human
Rabbit
Polyclonal
Unconjugated
100 μgKu70 Mouse Monoclonal Antibody [orb738486]
FC, ICC, IF, IHC, WB
Human
Mouse
Monoclonal
Unconjugated
100 μgKu70 Mouse Monoclonal Antibody [orb738485]
FC, ICC, IF, IHC, WB
Human
Mouse
Monoclonal
Unconjugated
100 μg

Quality Guarantee
Explore bioreagents carefree to elevate your research. All our products are rigorously tested for performance. If a product does not perform as described on its datasheet, our scientific support team will provide expert troubleshooting, a prompt replacement, or a refund. For full details, please see our Terms & Conditions and Buying Guide. Contact us at support@biorbyt.com.

Western blot analysis of Hela (Lane 1), A549 (Lane 2) whole cell lysate using X-ray repair cross-complementing protein 6 antibody

Immunohistochemical staining of mouse liver tissue using X-ray repair cross-complementing protein 6 antibody

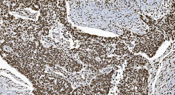
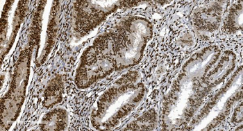
Immunohistochemical staining of human lung cancer using X-ray repair cross-complementing protein 6 antibody

Immunofluorescence analysis of PC-3 cells using X-ray repair cross-complementing protein 6 antibody

Immunohistochemical staining of human lung cancer using X-ray repair cross-complementing protein 6 antibody

Immunohistochemical staining of human spleen tissue using X-ray repair cross-complementing protein 6 antibody

Immunohistochemical staining of human kidney tissue using X-ray repair cross-complementing protein 6 antibody

Western blot analysis of Hela whole cell lysate(lane 1), A549 whole cell lysate(lane 2), MCF-7 whole cell lysate(lane 3), HEK293 whole cell lysate(lane 4) using X-ray repair cross-complementing protein 6 antibody
Quick Database Links
UniProt Details
−Documents Download
Request a Document
Protocol Information
XRCC6 Antibody (orb238999)
Participating in our Biorbyt product reviews program enables you to support fellow scientists by sharing your firsthand experience with our products.
Login to Submit a Review















































