You have no items in your shopping cart.
ZHX2 Antibody
Description
Images & Validation
−| Tested Applications | ELISA, IP, WB |
|---|---|
| Dilution range | WB: 1:1000-1:10000; IP: 1:200-1:2000 |
| Reactivity | Human, Mouse, Rat |
Key Properties
−| Antibody Type | Primary Antibody |
|---|---|
| Host | Rabbit |
| Clonality | Polyclonal |
| Isotype | IgG |
| Immunogen | zinc fingers and homeoboxes 2 |
| Target | ZHX2 |
| Molecular Weight | 92 kDa |
| Purity | ≥95% as determined by SDS-PAGE |
| Purification | Immunogen affinity purified |
| Conjugation | Unconjugated |
Storage & Handling
−| Storage | Maintain refrigerated at 2-8°C for up to 2 weeks. For long term storage store at -20°C in small aliquots to prevent freeze-thaw cycles. |
|---|---|
| Form/Appearance | liquid |
| Disclaimer | For research use only |
Alternative Names
−Similar Products
−ZHX2 Rabbit Polyclonal Antibody [orb100207]
ICC, IF, IHC-Fr, IHC-P
Bovine, Canine, Equine, Gallus, Mouse, Porcine
Human, Rat
Rabbit
Polyclonal
Unconjugated
200 μl, 50 μl, 100 μlZHX2 antibody [C1C3] [orb556796]
ChIP, ICC, IHC-Fr, IHC-P, IP, WB
Human, Mouse
Rabbit
Polyclonal
Unconjugated
100 μlZHX2 Antibody [orb224079]
IHC, WB
Human, Monkey, Mouse, Rat
Rabbit
Polyclonal
Unconjugated
50 μl, 30 μl, 100 μl, 200 μl

Quality Guarantee
Explore bioreagents carefree to elevate your research. All our products are rigorously tested for performance. If a product does not perform as described on its datasheet, our scientific support team will provide expert troubleshooting, a prompt replacement, or a refund. For full details, please see our Terms & Conditions and Buying Guide. Contact us at support@biorbyt.com.

human heart tissue were subjected to SDS PAGE followed by western blot with orb632727 (ZHX2 antibody) at dilution of 1:800.

IP Result of anti-ZHX2 (IP: orb632727, 4 ug; Detection: orb632727 1:800) with mouse brain tissue lysate 2800 ug.
Quick Database Links
UniProt Details
−Documents Download
Request a Document
Protocol Information
ZHX2 Antibody (orb632727)
Participating in our Biorbyt product reviews program enables you to support fellow scientists by sharing your firsthand experience with our products.
Login to Submit a Review



![ZHX2 antibody [C1C3]](/images/pub/media/catalog/product/z/h/zhx2-antibody_orb556796_ifa_1.jpg)
![ZHX2 antibody [C1C3]](/images/pub/media/catalog/product/z/h/zhx2-antibody_orb556796_ifa_2.jpg)
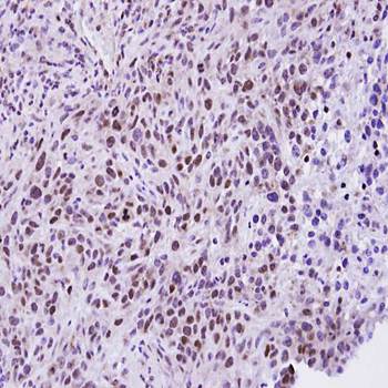
![ZHX2 antibody [C1C3]](/images/pub/media/catalog/product/z/h/zhx2-antibody_orb556796_ihc_1.jpg)
![ZHX2 antibody [C1C3]](/images/pub/media/catalog/product/z/h/zhx2-antibody_orb556796_ip_1.jpg)
![ZHX2 antibody [C1C3]](/images/pub/media/catalog/product/z/h/zhx2-antibody_orb556796_wb_1.jpg)






